Explore

Advertise on Engormix

Case Report: Prevalence and significance of aspergellosis in commercial broiler chicken: Pathological study

Published: July 16, 2018
Source : S.H. Eassa 1, M.H. Mohammed 2 and A.M. Omer 3. / 1 Department of Biology, College of Medicine; 2 Scientific Research Center, College of Sciences, Duhok University; 3 Poultry nit, Directorate of Veterinary in Duhok, Kurdistan Region, Iraq.
Summary

The present study was carried out to evaluate the pathological effects of aspergillosis caused by Aspergillus Spp. In commercial broiler chickens. In this study, we discussed few outbreaks of Aspergillus infection of chicks a week aftter hatching in broiler farms of Duhok-Kurdistan region of Iraq during the period from February to May 2015 on the basis of clinical signs, post-mortem, histopathological and cultural findings. The main clinical signs of the disease in the infected flock included a 3-day onset of labored breathing and neurologic disorders displayed by incoordination, torticollis, and paralysis. Other clinical features included depression, ruffled feathers and gasping. Gross lesions were represented by cheesy granular materials in the air sacs, lungs, and trachea. Histopathology revealed fungal hyphae in sectioned lung tissue. Aspergillus was isolated by culturing in Sabouraud’s dextrose agar from the lesions. The present study deals with the incidence of acute aspergillosis in broiler chicks from Duhok, Kurdistan-Iraq.

Keywords: aspergillosis, Aspergillus fumigatus, broiler, clinical and pathological changes -- Available online at http://www.vetmedmosul.org/ijvs

Introduction
Aspergillosis is a fungal disease of all poultry species; infection by A. fumigatus may induce significant economic losses particularly in turkey production (1). Aspergillosis usually occurs in the respiratory system of chickens, turkeys, and less frequently in ducklings, pigeons, canaries, and geese (2).
In poultry, Aspergillus fumigatus is considered to be the most pathogenic and the most frequent isolates from pathologic lesions (3,4). In nature, the fungal spores are abundant, and poultry exposure to fungi or their spores occurs after the introduction of contaminated litter and feed (5).
Early infection is possible in hatcheries if fungal contamination occurs (6). Certain infectious diseases may contribute to aspergillosis, e.g. infectious bronchitis, respiratory manifestation (gasping), laryngotracheitis, and fowl pox (1,7). It has been speculated that extremely dry air and dust can cause the infection with Aspergillus because they dry out the respiratory mucosa and the protective effect of mucus is reduced (8).
Cutaneous, respiratory, ocular and nervous signs forms of aspergillosis have been reported worldwide (8-11). These organisms have the ability to penetrate eggshells, and the newly hatched chicks may become infected (10) and this is commonly termed as hatchery borne infection (6).
Clinical signs and lesions were noted in some day-old chicks, but classic lesions were observed in chicks five days of age (12,13). Morbidity and mortality rate of the poultry differs from flock to flock, age to age and also to the degree of the immune status of the birds and the exposure level (11,).
Clinical signs, post-mortem lesions, fungal isolation and histopathological lesions of the disease could be an efficient attempt to detect the disease. Aspergillosis is usually an economically important disease, and the present study was carried out to investigate aspergillosis in newly hatched chicks in commercial poultry farms and to find out the possibility and the reasons of this outbreak.
Materials and methods
Sample collection
The incidence of Aspergillus spp. on poultry farms was investigated from data collected after the clinical and laboratory examination was performed during the period from February to May 2015. Suspected cases, the affected tissues were taken for histopathological examination and microbiological isolation and cultured on solid media using standard methods. Mycological investigations were done in the accredited laboratory at the Directorate of Veterinary in Duhok.
Necropsy and histopathological examination
Dead birds were sent for diagnosis and systematically examined at necropsy. Sick birds were taken to the laboratory for physical check and detailed examinations. The case history and clinical signs were considered carefully before attempting necropsy examination. Physical appearances of the carcasses and the gross morbid visible lesions of organs and tissues were recorded.
Tissue samples were collected during the necropsy and fixed in 10% formalin solution as soon as possible to prevent alteration of the tissues through autolysis. The fixed samples were processed, embedded in paraffin, sectioned and stained with the hematoxylin and eosin (HE) according to (15). Histopathological lesions were observed under light microscope and changes were recorded.
Microbiological Examination
The lesions of Aspergillus fumigatus were prepared from suspected organs (lungs, air sacs) of dead birds. These organs were impressed directly on Sabouraud Dextrose (Oxoid) supplemented with chloramphenicol (0.05 mg/ml). Cultures were incubated aerobically at 25 0C and 37 0C for 5–7 days. Aspergillus fumigatus was detected regarding the specific shapes of the colony; slides were also prepared for the identification of arrangement mycelium hyphae with lactophenol blue staining method.
Results
Poultry flocks (Table 1) were examined clinically, and post-mortem inspection of chickens at different ages was carried out.
Table 1. Clinical history of the different flocks examined in Duhok
Case Report: Prevalence and significance of aspergellosis in commercial broiler chicken: Pathological study - Image 1
Clinical signs and gross lesions examination
Affected birds showed moderate to severe dyspnea, gasping and death, whitish watery diarrhea, anorexia, ruffled feathers, progressive emaciation, remarkable dehydration and many birds were found in lateral recumbency (Figure 1).
Necropsy lesions showed that the lung was the organ most affected by the disease, and was typically consisted of diffuse yellowish-white granulomas, the size of which varied from miliary to large nodules (about 1 cm in diameter) (Figure 2). Internal surfaces of the air sacs were completely covered with white nodules fungal material. The air sacs were visibly thickened
Histopathology
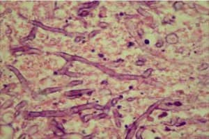
The lesions of pneumonic lung showed severe caseous necrosis of alveolar epithelial, purple colored granular mass centrally of the nodules surrounded by a zone of inflammatory cells mainly mononuclear cells, and fungal septated hyphae were demonstrated in the lungs (Figures 3  & 4).
Cultural detection:
On the fifth day of the incubation, gray whitish colonies appeared (Figure 5) whereas the microscopic examination of the colonies showed conidiophores which were spherical in shape (Figure 6).
Case Report: Prevalence and significance of aspergellosis in commercial broiler chicken: Pathological study - Image 2 Case Report: Prevalence and significance of aspergellosis in commercial broiler chicken: Pathological study - Image 3
Figure 1. Chick showing signs of dyspnea. Figure 2. White-yellowish caseous nodules in the lung of the affected chick.
Case Report: Prevalence and significance of aspergellosis in commercial broiler chicken: Pathological study - Image 4 Case Report: Prevalence and significance of aspergellosis in commercial broiler chicken: Pathological study - Image 5
Figure 3. Area of caseous necrosis The nodule surrounded by a zone of inflammatory cells mainly mononuclear cells (H&E100X). Figure 4. Setated Hyphae spores in the inflammatory necrotic masses (H&E 100X).
Case Report: Prevalence and significance of aspergellosis in commercial broiler chicken: Pathological study - Image 6 Case Report: Prevalence and significance of aspergellosis in commercial broiler chicken: Pathological study - Image 7
Figure 5. Gray whitish colonies. Figure 6. Sphere-shaped Conidiophores (100X).

Discussion
Aspergillus fumigatus is one the most common etiologic agent in cases of aspergillosis (4). Aspergillosis can occur as an acute disease with high morbidity and mortality in young birds, or it can occur as a chronic disease, affecting fewer numbers of older birds (2). Clinical signs such as dyspnea, gasping and hyperpnea are usually associated with aspergillosis (8).
In the present case, although signs resembling respiratory disease were observed, clinical signs intensively in central nervous system and eyes were noted. A stunning in the birds was also observed. Aspergillus spp. Infection typically produces fungal nodules or plaques within the lungs and on the air sacs. Occasionally, the trachea and syrinx are also affected (16).
In the present study, air sacs, lungs were affected macroscopically. Lesions were observed as small white to yellow caseous nodules. In the histopathologic examinations, the lesions in the lung were characterized by well-demarcated foci of necrosis with infiltration by heterophils, macrophages, and giant cells. The colonization of the spores in the lungs and air sacs of birds can lead to the proliferation of organism, which eventually leads to the development of granulomatous lesions in individual organs and tissues through the evocation of the host defense system (17).
Eggshell can be contaminated during in the case of collection and storage of insufficient (13). During the year 2015, Aspergillus spp. was detected, and swabs were taken from a different hatchery in Duhok, and all the hatches found contaminated with Aspergillus. To avoid contamination of the embryos and hatched chicks different sanitation programs should be applied. Sanitation programs are designed to reduce the number of potential pathogens like fungi and other infectious agents, with a special attention to prevent import of any uncertified fertilized eggs.
Acknowledgments
We would like to thank Mr. Alend Mahmmod, Mr. Rezan Waheb, and Ms. Darestanh Rajeb from the laboratory of the Directorate of Veterinary in Duhok for their assistant.
This article was originally published in Iraqi Journal of Veterinary Sciences, Vol. 31, No. 2, 2017 (113-116). This is an Open Access article licensed under a Creative Commons Attribution-NonCommercial-NoDerivs 3.0 Unported License.
References
1. Kunkle RA. Aspergillosis. In: Saif YM, Barnes HJ, Glisson JR, editors. Diseases of Poultry. Iowa: Iowa State University Press; 2003;pp:883-895.
2. Arne P, Thierry S, Wang D, Deville M, Le Loc'h G, Desoutter A, Femenia F, Nieguitsila A, Huang W, Chermette R, Guillot J. Aspergillus fumigatus in Poultry. Int J Microbiol. 2011;2011:1-14.
3. Richard JL, Thurston JR, Peden WM, Pinello C. Recent studies on aspergillosis in turkey poults. Mycopathologia. 1984;87:3-11.
4. Lair-Fulleringer S1, Guillot J, Desterke C, Seguin D, Warin S, Bezille A, Chermette R, Bretagne S. differentiation between isolates of Aspergillus fumigatus from breeding turkeys and their environment by genotyping with with microsatellite markers. J Clin Microbiol. 2003;41(4):1798-800.
5. Sultana S, Rashid SH, Islam MN, Ali MH, Islam MM, Azam MG. Pathological Investigation of Avian Aspergillosis in Commercial Broiler Chicken at Chittagong District. Int J Innovation Appl Stud. 2015;10(1):366-376.
6. Hamet N, Seigle-Murandi F, Steiman R. Contribution to the prophylaxis of chicks aspergillosis: study of the contamination of a hatchery by Aspergillus fumigatus. Zentralbl Veterinarmed B. 1991;38(7):529-537.
7. Jacobson ER, Raphael BL, Nguyen HT, Greiner EC, Gross T. Avian pox infection, aspergillosis and renal trematodiasis in a Royal tern. J Wildl Dis. 1980;16(4):627-631.
8. Munir MT, Rehman ZU, Shah MA, Umar S. Interactions of Aspergillus fumigatus with the respiratory system in poultry. World's Poul Sci J. 2017;73(2):321-336.
9. Cassandra M, Batzlaff MD, Andrew H, LimperMD. When to Consider the Possibility of a Fungal Infection: An Overview of Clinical Diagnosis and Laboratory Approaches. Clinics in Chest Medicine. 2017;38(2):189-201.
10. Leishangthem GD, Singh ND, Brar RS, Banga HS. Aspergillosis in Avian Species: A Review. J Poul Sci Technol. 2015;3(1):01-14
11. Pattisson M, McMullin P, Bradbury J, Alexander D, Jordan F. Poultry disease. Saunders, UK: Elsevier Limited; 2008;pp:428-431.
12. Aguilar RF, Redig PT. In: Current Veterinary Therapy XII. Diagnosis and treatment of avian aspergillosis. Philadelphia, PA: WB Saunders; 1995;pp: 1294-1299.
13. Girma G, Abebaw M, Zemene M, Mamuye Y, Getaneh G. A Review on Aspergillosis in Poultry. J Vet Sci Technol. 2016;7:382.
14. Beernaert LA, Pasmans F, Van Waeyenberghe L, Haesebrouck F, Martel A. Aspergillus infections in birds: a review. Avian Pathol. 2010;39(5):325-331.
15. Luna LG. Manual of histologic staining methods of the armed forces institute of pathology. NY: McGraw-Hill; 1968;pp:111–112.
16. Kunkle, RA. Aspergillosis. In: Kahn, C.M., Line, S., editors. The Merck Veterinary Manual. 10th edition. Whitehouse Station, NJ: Merck Publishing. 2010;pp:2497-2498.
17. Cacciuttolo E, Rossi G, Nardoni S, Legrottaglie R, Mani P. Anatomopathological aspects of avian aspergillosis. Vet Res Commun. 2009;33(6):521-527.
Related topics:
Authors:
Majed Mohammed
Recommend
Comment
Share
Yunianta
20 de diciembre de 2018

Thank you, this is an interesting study. Please tell me how many doses of mycotoxin/Aspergillus spp. in the dead birds (sample)?

Recommend
Reply
Profile picture
Would you like to discuss another topic? Create a new post to engage with experts in the community.
Featured users in Poultry Industry
Fernanda Lima de Souza Castro
Fernanda Lima de Souza Castro
Cargill
Cargill
Gerente de serviços técnicos
United States
Shivaram Rao
Shivaram Rao
Pilgrim´s
PhD Director Principal de Nutrición y Servicios Técnicos de Pilgrim’s Pride Corporation
United States
Jose Salazar
Jose Salazar
Grupo Nutec
United States