Explore

Advertise on Engormix

7 main causes of erosions in gizzard and proventriculus

Published: August 9, 2022
Source : Plusvet Animal Health
7 main causes of erosions in gizzard and proventriculus - Image 1
(This is a revisited version of a post we published in 2013).
It is estimated that 15 to 25% of the birds routinely necropsied in broiler, breeder or layer farms show proventriculus or gizzard erosions.
The consequences of such erosions should not be underestimated, since both organs are key for performance:
  • When the proventriculus glands are affected, there is a lower secretion of hydrochloric acid and enzymes and therefore more undigested feed arrives to the intestine, where it can act as a substrate of pathogens and start digestive infections.
  • Whenever there are lesions in proventriculus or gizzard, the digestion becomes painful and affected birds consume less food.
  • Growth, FCR and general productivity worsen.
ANATOMY
Proventriculus is a glandular organ that secretes hydrochloric acid and enzymes.
Between proventriculus and gizzard there is an isthmus called transitional area, where the environment is anaerobic and feed can accumulate.
Gizzard consists of two pairs of opposing muscles covered by a protective yellow layer called cornea layer or koilin layer. Its main function is mechanical digestion.
7 MAIN CAUSES OF EROSIONS IN PROVENTRICULUS AND GIZZARD
1. Mycotoxins
7 main causes of erosions in gizzard and proventriculus - Image 2
Feed contaminated by T-2 toxin, HT-2 toxin, diacetoxyscirpenol (DAS) or monoacetoxyscirpenol (MAS), all belonging to the group of trichothecenes, causes erosions in proventriculus and gizzard by producing burns and irritations on the tissues.
Main signs of mycotoxicosis are:
  • From slight erosion to complete visual disappearance of proventriculus glands.
  • Dilated and enlarged proventriculus, with weak walls. Fumonisins can also be the cause of a flaccid and dilated proventriculus
  • Caustic effects in the surface of gizzard, with dark lesions.
The use of mycotoxin binders with high adsorption rates for trichothecenes can prevent mycotoxicosis on proventriculus and gizzard.  On the onset of the disease, withdraw contaminated feed as soon as possible and administer a suitable mycotoxin binder (PlusBind©).
2. Bacterial infections
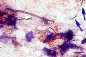
7 main causes of erosions in gizzard and proventriculus - Image 3
Macrorhabdus ornithogaster, picture obtained here.
The most important bacteria affecting proventriculus and gizzard are:
  • Those of the genus Clostridium (Clostridium colinum, Clostridium perfringens, etc.) that grow in the anaerobic spaces of the transition area. In these cases, a necrosis is observed in the transitional area and the upper part of the gizzard. Prevention is carried out by improving the digestibility of feed and the use of plant extracts. For treatment, in many cases plant extracts are enough, in other cases antibiotics may be necessary.
  • Megabacteria (Macrorhabdus ornithogaster), an organism that looks like bacterium but is actually closer to yeast. Originally it was thought to infect ornamental birds only, but it has been shown that they can infect broilers, laying and breeding hens, turkeys, quail and ostriches. At necropsy, the proventriculus is dilated, pale in color, with irregularly shaped glands and sometimes small bruises. Diagnosis in the laboratory: Giemsa stain reveals very large rod-shaped organisms.
3. Infections by Candida albicans (yeast)
7 main causes of erosions in gizzard and proventriculus - Image 4
Under certain conditions such as immune suppression or antibiotic abuse, the yeast Candida albicans, an opportunistic pathogen, is able to colonize beak, crop and proventriculus. In proventriculus, white masses can be observed.
Prevention can be carried out with products based on fungicide plant extracts. The same products can contribute to ameliorate the disease. Nystatin or fluconazole are the pharmaceutical treatments of choice.
4. Fungal infections???
7 main causes of erosions in gizzard and proventriculus - Image 5
In certain circumstances, especially in hot and humid environments, the type of injuries that are shown in the picture above appear. The infection begins with a small brown protrusion in the stratum corneum that leads to ulcers at a later stage. The stratum corneum becomes fragile and very easy to separate. White deposits can be seen between the stratum corneum and the muscle layer beneath it.
7 main causes of erosions in gizzard and proventriculus - Image 6
Previously it was believed that these injuries were due to fungal infections. But the works of Ivanov (2010) and Novoa-Garrido M et al, (2006), among others, suggest that they are actually caused by  Clostridium sp.
In our laboratory, after analyzing multiple gizzards with this problem, as well as the feed consumed by the affected birds, we concluded that:
  • 94% of the ” white deposits ” were negative to fungi after microbiological analysis.
  • All “white deposits” tested positive for Clostridium sp.
  • The presence of “white deposits” was not linked in any of the cases to an abnormal amount of fungi in the feed that the animals had consumed.
Although it is still necessary to investigate more to reach a definitive conclusion, our technical team is inclined to think that this problem is not caused by fungi but that it is the consequence of an imbalance of the digestive flora that leads to an abnormal growth of species of Clostridium sp., as reported in the two articles cited above. 
This pathology can be prevented and treated with the use of certain phytobiotics.
5. Viral infections
7 main causes of erosions in gizzard and proventriculus - Image 7
Lesions on proventriculus, gizzard and duodenum by Newcastle virus, picture found here.
There are many virus infect proventriculus and gizzard, among them infectious bronchitis virus, avian pox virus, avian influenza virus, Newcastle disease, etc.
The most important common sign for viral infections is bleeding. At necropsy, one can observe sings ranging from small hemorrhagic focuses to major bleeding, both on the proventriculus and on gizzard. Some viruses show characteristic signs, such as lymphomas in case of Marek infection.
Identifying the exact viral agent and prescribing an appropriate treatment requires an experienced veterinarian.
6. Nutritional causes
7 main causes of erosions in gizzard and proventriculus - Image 8
Biogenics animes
Amino acids that are naturally present in animal by-products become biogenic amines due to bacterial fermentation.
Biogenic amines stimulate acid over-secretion in proventriculus glands.
Main lesions are ulcerations and fissures in gizzard, together with bleeding, especially near transitional area and near the pylorus isthmus.  The pH inside gizzard is abnormally low.
Black vomit
The amino acids lysine and histidine, present in fish meal, become gizzerosine due to an excessive heating during processing. Gizzerosine stimulates acid over-secretion in proventriculus glands.
Cornea layer is damaged; pH inside gizzard is abnormally low and gizzard turns black due to extensive bleeding.
Other nutritional causes
  • Copper levels in feed > 250 ppm.
  • Sub-optimal levels of sulfur amino acids (methionine and cysteine) in diet.
  • Deficiency of vitamin E, vitamin B12, vitamin B6 or selenium.
7. Controversial causes
7 main causes of erosions in gizzard and proventriculus - Image 9
Sometimes dark erosions can be seen in the proventriculus or gizzard of day one chicks. The origin of such erosions is under discussion in the scientific community. Possible causes:
  • Late access to feed (starving).
  • Stress during incubation and/or hatching.
  • Mycotoxins in breeder feed.
  • Vertical infection by bacteria or virus.
Whenever day one chicks show this kind of signs, it is advisable to give a vitamin solution to speed up the regeneration of the tissue
Conclusions
Because of their impact on production parameters, diseases that affect the proventriculus and gizzard cannot be ignored. Most of them could be prevented with the use of mycotoxin binders (PlusBind©), plant extracts with positive effect on gut health, adequate biosafety programs and a good nutritional strategy.
Recommend
Comment
Share
Profile picture
Would you like to discuss another topic? Create a new post to engage with experts in the community.
Featured users in Poultry Industry
Dr. Algis Martínez
Dr. Algis Martínez
Cargill
Cargill
DVM, Diplomado ACPV - Poultry Veterinarian North America Cargill
United States
Ana Maria Villegas-Gamble
Ana Maria Villegas-Gamble
Pilgrim´s
DVM, MS, Ph.D. / Directora de Nutrición
United States
Jose Salazar
Jose Salazar
Grupo Nutec
United States