Explore

Advertise on Engormix

Posterior paralysis in a Holstein cow with Enzootic Bovine Leukosis¤

Published: November 24, 2014
Source : David Villar1*, MV, PhD; Leonardo Duque2, MV, MSc; Carlos Andres Giraldo Echeverri3, MV, MSc; Juan Esteban Pérez Montes1, MV, MSc; Francisco Pallares4, MV, PhD; Kent Schwartz5 , MV, MSc (1.Universidad de Antioquia, Medellín, Colombia, 2.Grupo de Investigación GINVER, Facultad de Medicina Veterinaria, Corporación Universitaria Remington, 3. Grupo de investigación VERICEL, Universidad de Antioquia, 4. Universidad de Murcia, España, 5. Iowa State University)
Summary

A 6 year-old Holstein cow was euthanized after a 3 week course of progressive paraplegia. In spite of the increasing difficulties to rise and walk, the animal remained bright, alert, afebrile and with good appetite throughout most of the clinical course. Complete blood counts, biochemical profiles and analysis of the cerebrospinal fluid were reported within normal limits. Antibody was detected for bovine leukaemia virus using an enzyme-linked immunosorbent assay, supporting a tentative diagnosis of bovine leukosis. Post-mortem examination revealed a localized form of lymphosarcoma with few 2-5 cm nodular tumors confined to the walls of the gastrointestinal tract, particularly in the abomasum. In addition, soft grey tumors were found within the vertebral canal surrounding the lumbar spinal cord and associated nerve roots. Microscopic examination revealed the nodular masses were composed of neoplastic lymphocytes. Mass in the lumbar vertebral canal had extradural neoplastic lymphocytes infiltrating connective tissues around the spinal cord and spinal nerve roots. Unlike the more common chronic and wasting presentation of the disease with widespread lymphadenopathy, the rapid progression of the disease to total paraplegia in this animal could be explained by the localized presence of tumors in the spinal canal.

Key words: bovine leucosis, linfadenopathy, paraplegia, tumour.

 

Introduction
The classification of bovine lymphoproliferative neoplasms has been widely accepted to fall into one of four distinct forms based on age and site of tumor development (Angelos and Thurmond, 2009). The adult multicentric form is also known as Enzootic Bovine Leukosis (EBL). The other three are grouped under the term sporadic bovine leukosis (SBL) and include the juvenile multicentric, thymic, and cutaneous forms. The cause of EBL is bovine leukemia virus (BLV), a retrovirus that integrates itself into the genome of bovine B cells with the potential to induce a lymphosarcoma and/or a persistent lymphocytosis (Yin et al., 2003). EBL affects cattle over 3 years of age and the clinical signs may vary depending on the location and development of neoplasia. Most reports describe a progressive loss of weight, decreased milk production, anorexia, diarrhea or constipation, which is associated with a generalized lymphadenopathy (Ohshima et al., 1980; Reed, 1981; Thompson et al., 1993). Cases with a history of posterior paralysis have been mostly reported in younger cattle with SBL (Grimshaw et al., 1979; Doige, 1987; Oliver-Espinosa et al., 1994) but it does not appear to be the main complain in adult cows with EBL. The following clinical case describes the presentation of progressive posterior paresis and ataxia caused by EBL. 
Patient´s examination
Anamnesis and clinical findings
A 6-year-old and 730 kg nulliparous Holstein female with an implanted rumen fistula for the collection of ruminal fluid was initially observed by the caretakers with slight ataxia and urinary incontinence. Upon physical examination by the veterinarian, a differential diagnosis list was made which in order of decreasing probabilities included: spinal cord lesion by a vertebral abscess or infection, parasitic reaction following deworming protocols, limphosarcoma, delayed neuropathy by neurotoxicants, and rare but possible forms of rabies, botulism, and bovine spongiform encephalopathy. Summarizing the clinical course, the slight ataxia progressed to paresis, paraplegia, and complete ataxia over a 21 day period, culminating in humane euthanasia. 
Treatment schedule
During the first week, medical treatment with thiamine (3 mg/kg/day IM for 5 days, and dexamethasone (20 mg/day IM for 5 days, resulted in transient improvement followed by relapse and continued progression in severity of clinical signs. According to the daily observations by caretakers during the first 2 weeks, the animal was not febrile, remained bright, alert, and showed normal appetite and defecation. However, on the third week she became anorectic and had severe difficulty for rising and walking, making painful grunts whenever attempts were made to stand up or lay down. By the end of the third week, the cow was unable to stand on her hind legs and had complete loss of sensation of the posterior extremities. Haematological parameters and analysis of cerebrospinal fluid (collected by cistern puncture) did not reveal any abnormalities (Table 1). The animal was euthanized on day 21 after onset of clinical signs using an intracisternal overdose of xylazine, followed within minutes by lidocaine. Serum was then collected and submitted for the detection of antibodies against BLV envelope glycoprotein gp51 and was found positive (Table 1) using an enzyme-linked immunosorbent assay (Kit Svanova, Biotech AB, Sweden). 
Table 1. Results of blood, serum and cerebrospinal fluid tests on a 6-year old Holstein cow with enzootic bovine leukemia*.
Posterior paralysis in a Holstein cow with Enzootic Bovine Leukosis¤ - Image 1
Findings at necropsy
Gross post-mortem findings revealed the presence of 4 to 6 small nodular masses, ranging in size from 1 to 5 cm, which were embedded in the walls of the small intestines but did not seem to adhere to adjacent tissues and did not appear to have perforated the mucosa or caused visible ulcers, or areas of haemorrhage. On cut surface, these masses were cream-colored with scarce areas of superficial haemorrhage and had a semi-firm consistency. The abomasal wall had several similar nodules as well as areas of diffuse wall thickening associated with an irregularly shaped eroded reddened mucosa. The adipose tissue surrounding segments of the lumbar spinal cord was interspersed with darker grey firm areas and small haemorrhages.
The mediastinal and mesenteric lymph nodes examined were not enlarged nor were other abnormal lymph nodes detected by gross examination. No masses were observed in other organs including the spleen, liver, brain, lungs, heart and kidneys.
Nodular masses and sections of the spinal cord were fixed in 10% formalin, embedded in paraffin, sectioned at 4 μm, and stained with hematoxylin & eosin. There was a diffuse infiltration of neoplastic lymphocytes in the abomasal submucosa and muscular layers (Figures 1, 2 and 3). Histological examination of the tissue surrounding the dura mater of the lumbar spine revealed abundant infiltration of pleomorphic lymphocytes (Figure 4).
The neoplastic cells aggregated as space occupying infiltrations of the connective and adipose tissue in extradural portions of the affected segments of the spinal cord and spinal nerve roots. Focal haemorrhages were present within neuropyle of the spinal cord, with mild axonal swelling observed in ventral cord horns as well as in spinal nerves. The changes were considered to be the result of pressure from the space-occupying neoplastic masses within the vertebral canal. 
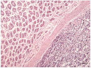
Figure 1. Bovine enzootic leukosis. Diffuse infiltration of neoplastic lymphocytes in the abomasal submucosa (Bar = 100 μm).
Posterior paralysis in a Holstein cow with Enzootic Bovine Leukosis¤ - Image 2 
Figure 2. Enzootic Bovine Leukosis. Neoplastic cells infiltrating the abomasal muscular layer (Bar = 50 μm).
Posterior paralysis in a Holstein cow with Enzootic Bovine Leukosis¤ - Image 3 
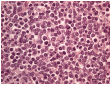
Figure 3. Enzootic Bovine Leukosis. Tumoral masses are characterized by the presence of well differenced lymphocytes interspersed by lymphoid cells with big nuclei containing chromatin lumps, scarce cytoplasm, and few mitotic figures (Bar = 20 μm).
Posterior paralysis in a Holstein cow with Enzootic Bovine Leukosis¤ - Image 4
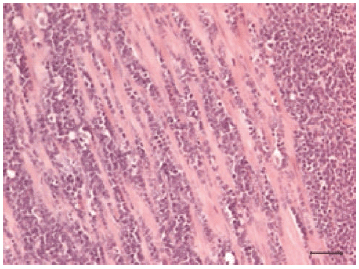
 Figure 4. Nerve roots at the lumbosacral intersection. There are diffuse accumulations of neoplastic lymphocytes dilating myelomeninges of the cauda equina. Swollen axons are present within nerve bundles (Bar = 100 μm).
Posterior paralysis in a Holstein cow with Enzootic Bovine Leukosis¤ - Image 5
Discussion
Neither clinical nor paraclinical examinations confirmed the diagnosis during the clinical course of the disease in this animal. Approximately 30% of cows that seroconvert to BLV develop a persistent lymphocytosis (Angelos and Thurmond, 2009), but this animal was not leukemic and peripheral lymphocyte counts where within the normal range (2.5 - 7.5 x 103 μL). In these cases, it has been shown that a careful morphological examination of the blood smear may distinguish between atypical mononuclear cells from other normal lymphocytes, thus providing an early diagnosis (Ohshima et al., 1980). The present cow had very few and small lesions detectable at necropsy for what would be expected with typical EBL, and they could have been easily missed by a quick and superficial rectal palpation.
In a pathology study (Ohshima et al., 1982) of 13 bovines euthanized in the early stages of EBL based on persistent lymphocytosis and/or atypical mononuclear cells, but no definitive enlargement of the lymph nodes, it was found that the histologic lesions preceding the tumor detection were marked follicular hyperplasia accompanied by atypical lymphoblastic cells in the sinuses and paracortical areas of the lymph nodes. In the current case, it is likely that insufficient time elapsed for tumors to grow-up to a size of antemortem clinical detection because of the rapid progression of the spinal cord compromise and posterior paralysis. Careful microscopic observations of lymph node biopsies may have revealed early generalized neoplastic infiltrations without gross enlargement of the lymph nodes, but was not performed in this case.
This cow came from a dairy herd of 250 cows in the high tropics of Antioquia, Colombia. Routine serological screening of aborted cows in this herd revealed that 6 out of 10 cows were seropositive for BLV during 2009. This is important because several reports have evaluated the economical implications of different rates of BLV infection in dairy herds (Pelzer, 1997; Rhodes et al., 2003). For a prevalence of 50%, herds with 100 cows are predicted to have 0.66 cases of lymphosarcoma per year, with an expectation of 1-2 cases every 2 years (Rhodes et al., 2003). However, the mean annual cost of a subclinical infection due to premature culling and loss in milk production at 50% prevalence was estimated at $6,400 (Rhodes et al., 2003; Thurmond et al., 1985). Considering that various epidemiological studies in major dairy areas of Colombia are quoting prevalence ranging between 21 and 62% (Alfonso et al., 1998; Betancur et al., 2008) basic control programs would likely be of significant economical benefit to producers. 
References
Alfonso R, Almansa JE, Barrera, J.C. Prevalencia serológica y evaluación de los factores de riesgo de Leucosis Bovina Enzoótica en la Sabana de Bogotá y los Valles de Ubaté y de Chiquinquirá, Colombia. Rev Sci Tech Off Int Epiz 1998; 17:723-732.
Angelos JA, Thurmond MC. Diseases of the Hematopoietic and hemolymphatic systems – bovine lymphoma. In Large Animal Internal Medicine. Ed. Bradford P Smith. 4th Edition, Mosby, Elsevier. 2009; 1173-1176.
Betancur CH, Rodas JG. Seroprevalencia del virus de la Leucosis Viral Bovina en animales con trastornos reproductivos de Montería. Rev MVZ Córdoba. 2008; 13:1197-1204.
Doige CE. Bone and bone marrow necrosis associated with the calf form of sporadic bovine leukosis. Vet Pathol 1987; 24:186-188.
Grimshaw WTR, Wiseman A, Petrie L, Selman IE. Bovine Leucosis (lymphosarcoma): a clinical study of 60 pathological confirmed cases. Vet Rec 1979; 105:267-272.
Ohshima K, Ozai Y, Okada K, Numakunai S. Pathological studies on aleukemic case of bovine leucosis. Jpn J Vet Sci 1980; 42:297- 309.
Ohshima K, Sato S, Okada K. A pathologic study on initial lesions of enzootic bovine leukosis. Jpn J Vet Sci. 1982; 44:249-257.
Oliver-Espinosa O, Physic-Sheard PW, Wollenberg GK, Taylor J. Sporadic bovine leukosis associated with ataxia and tibiotarsal joint swelling: a case report. Can Vet J 1994; 35:777-779.
Pelzer KD. Economics of Bovine Leukaemia Virus Infection. Vet Clin North Am Food Anim Pract 1997; 13:129-141. Reed VI. 1981. Enzootic bovine leukosis. Can Vet J 1981; 22:95- 102.
Rhodes JK, Pelzer KD, Johnson YJ. Economic implications of bovine leukaemia virus infection in mid-Atlantic dairy herds. JAVMA 2003; 223:346-352.
Thompson KG, Johnstone AC, Hilbink F. Enzootic bovine leucosis in New Zealand – a case report and update. N Z Vet J 1993; 41:190-194.
Thurmond MC, Maden CB, Carter RL. Cull rates of dairy cattle with antibodies to bovine leukaemia virus. Cancer Res 1985: 45:1967-1989.
Yin S, Makara M, Pan Y, Ishiguro H, Ikeda M, Numakunai S, Goryo M, Okada K. Relation between phenotype of tumor cells and clinicopathology in bovine leukosis. J Vet Med Sci 2003; 65:599-606.
Related topics:
Recommend
Comment
Share
Umberto Francesa
29 de noviembre de 2014
I'm surprise the blood analyses did not show any increases in lymphocytes.
Recommend
Reply
Profile picture
Would you like to discuss another topic? Create a new post to engage with experts in the community.
Featured users in Dairy Cattle
Jim Quigley
Jim Quigley
Cargill
Cargill
Technical Lead - Calf & Heifer at Cargill
United States
Pietro Celi
Pietro Celi
dsm-Firmenich
dsm-Firmenich
United States
José Manuel Oropeza Meza
José Manuel Oropeza Meza
MSD - Merck Animal Health
Gerente Nacional Cuentas Clave en MSD Salud Animal
United States