Explore

Advertise on Engormix

Role of histopathological examination in diagnosis of avian leucosis virus subtype J in broiler chicken in Egypt

Published: October 11, 2018
Source : Mohammad Abdel Gayed, Amal Ibrahim Elkhawaga and Mohammad Hussein Hassan. / Poultry Department, Animal Health Research Institute, Dokki, Cairo, Egypt.
Summary

Histopathological examination play a major role in diagnosis of tumor viruses as avian leucosis in chickens. In this study, we used this examination as a first method for diagnosis of avian leucosis (subgroup J) in most breeds of broiler chickens in Egypt. This occurred through examination of internal organs of broiler chickens of different breeds at different ages to detect the signs of this virus through histopathological examination, then comparing these results with virological methods of diagnosis to give a clear picture for diagnosis this disease in early stages of life of broiler chickens.

Introduction
Avian leucosis virus (ALV) is belonging to the family Retroviridae, subfamily Orthoretrovirinae, genus Alpha retrovirus. Exogenous avian leucosis viruses(ALV) are classified into A,B,C,D and J subgroups based on their host range, cross-neutralization and viral interference. They can induce different path types of neoplastic diseases in chickens (Fadly and Payne. 2003). Among these subgroups, subgroup J,A and B are more common than other subgroups in chickens(Cui et al., 2003, Du et al., 2000, Xu et al., 2004). The exogenous viruses (subgroups A, B, and J) mainly induce lymphoid leucosis (LL) and myeloid leucosis (ML) in field flocks (Fadly and Payne. 2002). No treatment exists for the exogenous viral infection. Furthermore, no commercial vaccine is available, so eradication measures are carried out by frequent detection of exogenous ALVs (Smith, et al 1998). The emergence of ALV-J forced some poultry breeders to formulate new plans to control ALV-J (Chase, 1991). Since ALV-J is spread by both vertical and horizontal transmission. The only method for blocking the vertical transmission of ALV-J is the early elimination of infected chickens (Chai, and Bates. 2006), (Chester's et al. 2006). There are several natural modes of ALV transmission. Horizontal infection is caused by either direct contact, or contact with contaminated materials. In congenital infection, which often causes chronic viremia in poultry flocks, ALV is passed from the hen to her offspring through the chick embryo cells, and often cause chronic viremia in flocks. Finally, genetic transmission occurs when endogenous retroviruses integrate into the chicken genome and the virus spreads in a Mendelian fashion (Payne and Nair, 2012). Avian leucosis virus subgroup J (ALV-J) was first isolated from commercial broiler breeders diagnosed with myelocytomatosis (Payne et al., 1991). ALV-J appeared in the UK in the late 1980s. In the early1990s, it was observed in a sporadic outbreak of myeloblastosis in Japan, disappearing after destruction of the affected stock but reappearing in 1998. By the early to mid-1990s the virus had spread to the USA, other European countries, Argentina, Israel and Taiwan, by the late 1990s to Australia and Egypt, and by the early 2000s to Malaysia and China. Therefore, the disease caused enormous economic losses in broiler breeders and broilers all over the world. This study was applied mainly on commercial broiler chickens of various breeds in different localities in Egypt by histopathological examination for detection of histopathological changes in various tissues due to infection of avian leucosis virus sub-type J also by virological tests as ELISA tests for detection of avian leucosis virus antigen and detection of ALV-J.
 
Material and methods;
1-Samples: collected organs in 10% formalin include (livers, hearts, spleens, proventriculus, tracheas, lungs, kidneys, thymuses, bursas, intestines, bones, eyes) were collected from 34 flocks of commercial broiler chickens of different breeds, located at different governorates in Egypt as well as 224 serum samples and 12 cloacal swabs.
2- Histopathological examination for detection of histopathological changes due to infection of avian leucosis virus
3-ELISA for detection of ALV-p27 antigen: Commercial ELISA kits IDEXX laboratories (IDEXX laboratories, Inc, Main, USA). Used for detection of ALV antigen in collected samples.
4-ELISA for detection of ALV-J antibodies in serum samples Commercial ELISA kits IDEXX laboratories (IDEXX laboratories, Inc., Main, USA). Used for detection of ALV antibodies in collected serum samples.
Results:-
Results of histopathological examination
Pathology; these samples collected from flocks showed no tumor lesions only showed enteric and respiratory complications.
Histopathology;
A-Relationship between ELISA and histopathological changes due to avian leucosis virus sub-type J infection in various breeds of broiler chickens.
1-Relationship between ELISA and histopathological changes (myeloid cells appearing) in COBB breed of broiler chickens at different ages in table (1).
Role of histopathological examination in diagnosis of avian leucosis virus subtype J in broiler chicken in Egypt - Image 1
Results showed that myeloid cell appearance due to myeloid leucosis which caused by avian leucosis subtype J were detected in COBB breed with 100% percent in all farms varying from 50% percent at first 2weeks of age to 100% percent at last 4weeks of ages.
1- Relationship between ELISA and histopathological changes (myeloid cells appearing) in Arbor-acres breed of broiler chickens at different ages in two farms in different localities in table (2).
Role of histopathological examination in diagnosis of avian leucosis virus subtype J in broiler chicken in Egypt - Image 2
Results showed that myeloid cell appearance due to myeloid leucosis which caused by avian leucosis subtype J were detected in Arbor-acres breed with 100% percent in 2 farms varying from 0.00% percent in first week to 50% percent at second week of age to 100% percent at last 4weeks of ages.
2- Relationship between ELISA and histopathological changes (myeloid cells appearing) in ROSS breed of broiler chickens at different ages in 2 farms in different localities in table (3).
Role of histopathological examination in diagnosis of avian leucosis virus subtype J in broiler chicken in Egypt - Image 3
Results showed that myeloid cell appearance due to myeloid leucosis which caused by avian leucosis subtype J were detected in ROSS breed with 100% percent in 2 farms varying from 0.00% percent in first and second week to 100% percent at last 4weeks of ages.
3- Relationship between Elisa and histopathological changes (myeloid cells appearing) in Hubbard breed of broiler chickens at different ages in two farms in different localities in table (4). 
Role of histopathological examination in diagnosis of avian leucosis virus subtype J in broiler chicken in Egypt - Image 4
Results showed that myeloid cell appearance due to myeloid leucosis which caused by avian leucosis subtype J were detected in Hubbard breed with 100% percent in one farm varying from 0.00% percent in first week to 100% percent at last 5 weeks of ages.
B- Detection of histopathological changes in various organs in different breeds of broilers chickens at different ages due to ALV-J virus.
In liver, showing diffuse infiltration of proliferative neoplastic myelocytes with large nuclei and distinct nucleolus that contained numerous eosinophilic cytoplasmic granules, moreover, there are some nests of less well-differentiated myelocyts, meyloblasts within the myelocytomas. Accumulations of neoplastic myeloid cells occur around the blood vessels. Numerous rounds tooval intra-cytoplasmic inclusion bodies are present in hepatocytes.
Role of histopathological examination in diagnosis of avian leucosis virus subtype J in broiler chicken in Egypt - Image 5
Fig(1)liver CB breed 3weeks broiler chicken showing diffuse infiltration of proliferative neoplastic myelocytes that contained numerous eosinophilic cytoplasmic granules, moreover intra-cytoplasmic inclusion bodies in hepatocytes.(o)x400 H&E
Role of histopathological examination in diagnosis of avian leucosis virus subtype J in broiler chicken in Egypt - Image 6
Fig (2) liver HD breed 6weeks broiler chickens showing focus of tumour cells have replaced liver tissue.x400 H&E
Role of histopathological examination in diagnosis of avian leucosis virus subtype J in broiler chicken in Egypt - Image 7
Fig (3) liver of RS breed 4weeks broiler chicken showing multi-nests of less well differentiated myelocytes- myeloblasts within the myelocytomas.x100 H&E
Role of histopathological examination in diagnosis of avian leucosis virus subtype J in broiler chicken in Egypt - Image 8
Fig (4) livers of AR breed 5weeks broiler chicken showing myeloid cell aggregation.x100 H&E
Role of histopathological examination in diagnosis of avian leucosis virus subtype J in broiler chicken in Egypt - Image 9
Fig 5) liver of RS breed 4weeks broiler chicken showing multi-nests of less well differentiated myelocytes- myeloblasts within the myelocytomas .x40 H&E
In heart, myofibrils are separated, fragmented and the cytoplasm is granular, disrupted and markedly vacuolated Intra-myocardial myeloid cells infiltration and intra-cytoplasmic inclusions are observed in myocytes and purkinji fibers but are more variable in size, and congestion of the cardiac blood vessels with thrombus formation.
Role of histopathological examination in diagnosis of avian leucosis virus subtype J in broiler chicken in Egypt - Image 10
Fig (6) heart of HD breed 4weeks broiler chickens showing myofibril distribution and dis array- myeloid cells infiltration (line) with intra-cytoplasmic inclusion bodies in cardiac myocytes (arrow).x100 H&E
Role of histopathological examination in diagnosis of avian leucosis virus subtype J in broiler chicken in Egypt - Image 11
Fig (7) heart of CB breed 3weeks broiler chickens showing myofibril distribution and dis array- myeloid cells infiltration.x400 H&E
Role of histopathological examination in diagnosis of avian leucosis virus subtype J in broiler chicken in Egypt - Image 12
Fig (8) heart of CB breeds 3week broiler chickens showing intra-cytoplasmic inclusion bodies in cardiac myocytes x400 H&E
Role of histopathological examination in diagnosis of avian leucosis virus subtype J in broiler chicken in Egypt - Image 13
Fig. (9) Heart RS breed 4 weeks broiler chickens showing myeloid cell infiltration. H&E X 1000.
Role of histopathological examination in diagnosis of avian leucosis virus subtype J in broiler chicken in Egypt - Image 14
Fig (10) heart of CB breed 6 weeks broiler chickens showing pericarditis, myocarditis and congested blood vessels with thrombus formation.x40 H&E
Role of histopathological examination in diagnosis of avian leucosis virus subtype J in broiler chicken in Egypt - Image 15
Fig (11) heart of AR breed 5weeks broiler chickens showing numerous rounds to oval intra-cytoplasmic inclusions (arrows) are present in perkinji fibers.x1000 H&E
The red pulp of the spleen is infiltrated by myeloid cells, Autolytic changes with large amount of eosinophilic hyaline materials replacing normal parenchyma with intra-cytoplasmic inclusion bodies in reticular fibers.
Role of histopathological examination in diagnosis of avian leucosis virus subtype J in broiler chicken in Egypt - Image 16
Fig(12) spleen of CB breeds 3weeks broiler chickens showing depletion of lymphocytes, eosinophilic hyaline material and intra-cytoplasmic inclusion bodies in reticular fibers.x100 H&E
Role of histopathological examination in diagnosis of avian leucosis virus subtype J in broiler chicken in Egypt - Image 17
Fig (13) spleen of RS breeds 4 weeks broiler chickens showing myeloid cells infiltration.x400 H&E.
In lung, there are increasing density of respiratory lobules of the lung due to diffuse infiltration and variable size nodular deposits of neoplastic cells, and myeloid cells infiltration in lamina propria of the tertiary bronchioles.
Role of histopathological examination in diagnosis of avian leucosis virus subtype J in broiler chicken in Egypt - Image 18
Fig (14) lung of AR breed 4weeks broiler chickens showing neoplastic cells infiltration in lung tissue.x100 H&E
Role of histopathological examination in diagnosis of avian leucosis virus subtype J in broiler chicken in Egypt - Image 19
Fig (15) lung of HD breed 6weeks broiler chickens showing myeloid cells infiltration in lamina propria of tertiary bronchioles.x400 H&E
Role of histopathological examination in diagnosis of avian leucosis virus subtype J in broiler chicken in Egypt - Image 20
Fig (16) lung of RS breed 5weeks broiler chickens showing myeloid cells infiltration.x1000 H&E
In kidney, congestion of the renal blood vessels, lymphatic and myeloid cells infiltration, and intra-cytoplasmic inclusion bodies are detected in glomerular, visceral parietal epithelial cells and tubular epithelium.
Role of histopathological examination in diagnosis of avian leucosis virus subtype J in broiler chicken in Egypt - Image 21
Fig (17) kidneys of RS breed 4weeks broiler chickens showing an interstitial cortical myeloid cell infiltration.x100 H&E
Role of histopathological examination in diagnosis of avian leucosis virus subtype J in broiler chicken in Egypt - Image 22
Fig (18) kidneys of HD breed 6weeks broiler chickens showing intra-cytoplasmic inclusion bodies in tubular epithelium.x400 H&E
Role of histopathological examination in diagnosis of avian leucosis virus subtype J in broiler chicken in Egypt - Image 23
Fig(19) kidney of RS breed 6weeks broiler chickens showing intra-cytoplasmic inclusions were found in tubular epithelial cells.x1000 H&E
In iris of the eye showing myeloid cells infiltration
Role of histopathological examination in diagnosis of avian leucosis virus subtype J in broiler chicken in Egypt - Image 24
Fig (20) iris of HD breeds 4weeks broiler chickens showing myeloid cells infiltration.x400 H&E
In trachea showing thickening in different layers due to edema, congestion and myeloid cells infiltration
Role of histopathological examination in diagnosis of avian leucosis virus subtype J in broiler chicken in Egypt - Image 25
Fig (21) trachea of RS breeds 5weeks broiler chickens showing myeloid cells infiltration in lamina propria, muscular layer and serosa.x100 H&E
In Proventriculus showing hyperplasia of the epithelial lining of lamina propria degeneration of muscular layer with myeloid cells infiltration
Role of histopathological examination in diagnosis of avian leucosis virus subtype J in broiler chicken in Egypt - Image 26
Fig (22) proventriculus of CB breeds 5weeks broiler chickens showing degeneration of muscular layer with myeloid cells infiltration in serosa.x100 H&E
Role of histopathological examination in diagnosis of avian leucosis virus subtype J in broiler chicken in Egypt - Image 27
Fig 23) proventriculus of HD breeds 4weeks broiler chickens showing myeloid cells infiltration in lamina propria.x400H&E
Role of histopathological examination in diagnosis of avian leucosis virus subtype J in broiler chicken in Egypt - Image 28
Fig(24) proventriculus of RS breed 3weeks broiler chickens showing degenerative changes in muscular layer with thickening in serosa due to cellular infiltration, congestion and edema.x100 H&E
Role of histopathological examination in diagnosis of avian leucosis virus subtype J in broiler chicken in Egypt - Image 29
Fig (25) High magnification of proventriculus of RS breed 3weeks broiler chickens showing edema, myeloid cells infiltrations in serosa. x400 H&E
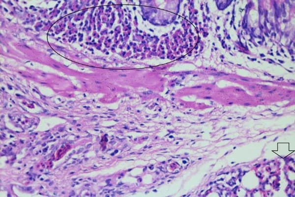
In bursa of Fabricius, proliferative myelocytoma cells were observed in the H&E stained sections surrounded the normal bursal lymphoid follicles; however, the myelocytoma cells infiltration were also present outside the follicles. Typical myelocytoma cells with acidophilic granules were demonstrated with inter-follicular connective tissue hyperplasia.
Role of histopathological examination in diagnosis of avian leucosis virus subtype J in broiler chicken in Egypt - Image 30
Fig (26) bursa of CB breed 3weeks broiler chickens x400H&E showing myeloid cells infiltration.
Role of histopathological examination in diagnosis of avian leucosis virus subtype J in broiler chicken in Egypt - Image 31
Fig (27) bursa of Fabricius of AR breeds 5weeks broiler chickens showing inter-follicular connective tissue neoplastic cells infiltration and intra-cytoplasmic inclusion bodies.x400 H&E
In thymus, the enlarged thymic tissue mainly consists of large myeloid cells with acidophilic granules. Lymphocytes disappeared from central areas of thymic lobules and are almost replaced by inflammatory large myeloid cells although there were some lobules with lymphocytes in the outer area.
Role of histopathological examination in diagnosis of avian leucosis virus subtype J in broiler chicken in Egypt - Image 32
Fig (27) thymus of HD breeds 4weeks broiler chickens showing depletion with myeloid cells infiltration.x40 H&E
Role of histopathological examination in diagnosis of avian leucosis virus subtype J in broiler chicken in Egypt - Image 33
Fig 28) thymus of AR Breed 4weeks broiler chickens showing depletion with myeloid cells infiltration.x100 H&E
Role of histopathological examination in diagnosis of avian leucosis virus subtype J in broiler chicken in Egypt - Image 34
Fig (29) thymus of RS breeds 4weeks broiler chickens showing depletion with myeloid cells infiltration.x100 H&E
In Bone marrow, the histopathological changes in bone marrow varying from myeloid cells proliferation to enlarged haemopoietic sinusoids filled with erythroblasts and myeloid cells.
Role of histopathological examination in diagnosis of avian leucosis virus subtype J in broiler chicken in Egypt - Image 35
Fig (38) bone marrow of AR breeds 4weeks broiler chickens x400 H&E showing myeloid cells proliferation (circle). 
Role of histopathological examination in diagnosis of avian leucosis virus subtype J in broiler chicken in Egypt - Image 36
Fig (39) bone marrow of HD 3weeks broiler chickens x400 H&E showing myeloid cells.
Blood vessels in different organs showing congestion and thrombus formation with myeloid and erythroblast cells as shown in fig (40).
Role of histopathological examination in diagnosis of avian leucosis virus subtype J in broiler chicken in Egypt - Image 37
Fig (40) cardiac blood vessels of RS breed 6weeks broiler chickens x1000 H&E showing thrombus with erythroblastosis
C- Results of detection of Histopathological changes in different organs in each breed at different ages.
1- Histopathological changes in different organs in COBB broiler chickens at different ages in table (5).
Role of histopathological examination in diagnosis of avian leucosis virus subtype J in broiler chicken in Egypt - Image 38
2- Histopathological changes in different organs in Arbor-acres broiler chickens at different ages in table (6).
Role of histopathological examination in diagnosis of avian leucosis virus subtype J in broiler chicken in Egypt - Image 39
3- Histopathological changes in different organs in Hubbard broiler chickens at different ages in table (7).
Role of histopathological examination in diagnosis of avian leucosis virus subtype J in broiler chicken in Egypt - Image 40
4-Histopathological changes in different organs in ROSS broiler chickens at different ages in table (8).
Role of histopathological examination in diagnosis of avian leucosis virus subtype J in broiler chicken in Egypt - Image 41
Results of ELISA tests;
1-Detection of ALV-AG in serum samples of commercial broiler chickens;
Among 140 serum samples, 104 were positive for ALV-AG by ratio of 74% and 36 samples were negative for ALV-AG by ratio of 26% from total samples in table (9).
Role of histopathological examination in diagnosis of avian leucosis virus subtype J in broiler chicken in Egypt - Image 42
Avian leucosis virus antigens were detected in serum samples collected from different breeds of commercial broiler chickens of different ages located at different governorates
2-Percentage of positivity of ALV-ag in different breeds of broiler chickens in table (10).
Role of histopathological examination in diagnosis of avian leucosis virus subtype J in broiler chicken in Egypt - Image 43
Serum samples collected from (Arbor-acres) breed show low ALV-AG by ELISA
3-Also, 12 cloacal swabs of one-day-old broiler chicks COBB breed show 100% negative result in table (11).
Role of histopathological examination in diagnosis of avian leucosis virus subtype J in broiler chicken in Egypt - Image 44
4-Detection of antibodies to ALV- J in serum samples of commercial broiler chickens in table (12);-
Role of histopathological examination in diagnosis of avian leucosis virus subtype J in broiler chicken in Egypt - Image 45
Among 84 serum samples five samples were positive for ALV- J by ratio of 6% and 79 samples were negative for ALV- J by ratio of 94% from total samples.
Percentage of positivity of ALV-J in breeds of broiler chickens in table (13).
Role of histopathological examination in diagnosis of avian leucosis virus subtype J in broiler chicken in Egypt - Image 46
Discussion
Avian leucosis virus sub-type J causes different histopathological changes in various organs in different broiler breeds at different ages, and for providing these points tissue samples were collected from 34 broiler flocks for detection of histopathological changes due to avian leucosis virus subgroups.
For detection of myeloid leucosis in commercial broiler chickens data presented in table (1), (2), (3) and (4) showed myeloid cell infiltrations in different breeds (COBB, Arbor-acres, ROSS and Hubbard breed) at different ages with positive percent reach to 50% in first and second week of age and 100% positive percent from 3rd week to 6th week of age in all breeds in different localities, this results come to agree with (Hair-Bejo et al 2004) who found that the presence of myeloid cells infiltration in the follicles of the bursa of Fabricius, 10 to 50% of the samples examined suggest that broiler chickens are at high risk of ALV-J infection.
Also samples data presented in table (5), (6), (7) and (8) showed that histopathological changes due to myeloid leucosis were predominant in various organs in all tested breeds (COBB, Arbor-acres, Hubbard and ROSS), where neoplastic myeloid cell infiltrations were present clearly in most organs with positive percent ranged from 20 to 60% in lung, trachea, iris, kidneys, bursa and spleen while with high percent 60 to 80% in livers samples of all tested breeds.
ALV-J infection in a flock can be previously diagnosed by pathological identification of characteristic tumors and confirmed by various virological methods; most of the cases will show typical myelocytomas on the inner sternum, vertebrates and ribs as well as myeloid infiltrations of the organs such as liver, kidney and spleen (Payne et al 1991).
In our study we observed that ALV-J inhibit the growth of chickens during the earlier periods of this study, the histopathological changes in immune organs thymus, bursa and spleen were depletion and neoplastic cells proliferation were continuously occurring for the duration of this study suggesting that ALV-J infection may inhibit the development of immune organs (Yan Lin et al., 2013), so ALV-J cause enormous economic losses in poultry industry.
ALV-J is best known for its induction of myeloid neoplastic tumor but it has also a significant cardiac tropism causing ascites with heart being one of the most frequently involved tissues during ALV-J infection (Arshad et al., 1999, Stedman and Brown 2002). Cardiac myocytes and purkinji fibers contained intra-cytoplasmic magenta inclusion bodies; these inclusions contained ribosomes and immature virions and were associated with myofibril disruption and disarray. These inclusion bodies were started to be detected from the 3rd week of our study in all groups of all tested breeds of broiler chickens with percent of 20 to 60% this may indicate that the broiler chickens were congenitally infected with ALV-J infections (Stedman and Brown 2002), the impaired cardiac function may play a role in the pathogenesis of body weight suppression associated with congenital ALV-J.
In addition, non-suppurative myocarditis was found in our study, and these inflammatory changes were interpreted as being induced by viral replication in cardiomyocytes (Sayuri Nakamura et al., 2014). Analogous into the body weight suppression associated with congenital heart defects.
In chickens less than the weight microscopical examination of liver in our study from the end of 2nd week diffuse infiltration of neoplastic cells, moreover, there were some nests of less well-differentiated myelocytomas.
As well as in histopathological examination of the randomly sampled liver and other organs from different farms at different ages showed accumulation of neoplastic myelocytes occur around blood vessels and in the parenchyma of the liver (Fadly and Payne 2003), this was in agreement with our observation.
Intra-cytoplasmic inclusion bodies due to avian leucosis J infection were detected in heart, lung, liver and proventriculus with positive percent ranged from 20 to 60% in all tested breeds.
Primary, tumors arise in the bone marrow and metastasize into viscera; this describes the hyperplasia of myeloid cells in bone marrow.
From these histopathological results, we can ask if we can use special organs to detect the infection at early ages. The answer to this question will be detailed in the following:
At first week no pathognomonic lesions appear in special organs, indicate the ALV-J infection so we must examine all organs.
At second week the lesions must be starting to give a light for abnormalities especially in livers, lung, bursa, bone marrow but not pathognomonic.
At third week, lesions must be clear especially in heart, liver, proventriculus, bursa, bone marrow.
At fourth, fifth and sixth week the lesions due to avian leucosis virus were very clear in most organs of the body of all tested breeds of broiler chickens.
Therefore, we cannot depend on special organ as a diagnosis of ALV-J at first and second week but must examine the most organs. From here we suggest using the periodic histopathological examination in broiler and breeder chickens to early diagnosis the avian leucosis sub-type J.
Also for detection of ALV Ag in commercial broiler chickens, data presented in table (9) showed that avian leucosis virus antigen were detected in serum samples collected from different breeds of commercial broiler chickens of different ages located at different governorates in Egypt, while serum samples collected from Arbor-acres breed show low ALV-Ag (52.6) by ELISA.
For comparison between different breeds of broiler chickens, data presented in table (10) showed that detection of ALV-AG in serum samples collected from different breeds of commercial broiler chicken range from 52.6% positive percent in Arbor-acres breed of broiler chickens which is the lower percent in relation to other breeds ROSS breed (58%), COBB breed (63%), while The highest level of positive results was present in other breeds of broiler chickens (AVIAN, INDIAN RIVER and F15 breed) which showed 100% positive percent representing the highest level.
The detection of ALV Ag in cloacal swabs collected from one-day-old chicks of commercial broiler chickens of COBB breed showed 100% negative result as showed in table (11).
For detection of ALV subtype J in broiler chickens, data presented in table (12) showed that serum samples collected from 6weeks broiler chickens of COBB breed showed higher positive percent (50%) in relation to other breeds (ARBOR-ACRES,ROSS and AVIAN )which show 100% negative results. This result agree with (Peng Zhoa et al.,2012) who found that 332 serum samples from 2530 serum samples collected from native chickens were positive by 13% percent.
A very interesting phenomenon described in this study, it is clear that;
First, the growth lesions examinations were not enough tests to indicate avian leucosis virus infection or not.
Second, the histopathological examination is the best test to detect neoplastic infiltrations from the early ages.
Third, all examined breeds in this study give histopathological indication of avian leucosis virus infection (lymphoid and myeloid leucosis).
Fourth, with histopathology we can detect the congenital and horizontal infection of ALV-J while virological tests as ELISA can detect horizontal infection only and the vertical infections give sero negative.
From the previous discussed data, we could conclude that avian leucosis virus J causing lymphoid and myeloid leucosis were detected and documented in meat-type chickens including commercial broiler chickens and broiler breeder chickens in most breeds in Egypt.
As there is no specific treatment or vaccines are available for control of the leucosis, the current approach is the eradication of exogenous avian leucosis virus from egg type and meat type breeding stocks by primary breeding companies to produce infection free commercial grandparent or parent breeding progeny together with hygiene measures aimed at preventing re-infection or limiting spread of infection if commercial flocks subsequently do become infected.

1- Arshad.S.S, Smith.L.M, Howes.K, Russell.P.H, Venugopal.K and Payne .L.N (1999); Tropism of sub-group J virus as detected by in situ hybridization. Avian pathology; 28.p 163-169.

2- Chai, N., and P. Bates. (2006); Na_/H_ exchanger type 1 is a receptor for pathogenic subgroup J avian leucosis virus. Proc. Natl. Acad. Sci. U. S. A. 103:5531–5536.

3- Chase, W. B. (1991); Eradication of avian leucosis virus by breeder companies: results, pitfalls and cost benefit analysis, p. 5–7. In D. Swayne and D. Zander (ed.), Proceedings of the Avian Tumor Virus Symposium. American Association of Avian Pathologists, Kennett Square, PA.

4- Chesters, P. M., L. P. Smith, and V. Nair. (2006); E (XSR) element contributes to the oncogenicity of avian leukosis virus (subgroup J). J. Gen. Virol. 87:2685–2692.

5- Cui, Z., Y. Du, Z. Zhang, and R. F. Silva. (2003); Comparison of Chinese field strains of avian leukosis subgroup J. viruses with prototype strain HPRS-103 and United States strains. Avian Dis. 47:1321–1330.

6- Du,Y., Z.Z. Cui, A. Qin, R. Silva and L. Lee (2000); Isolation of subgroup J avian leucosis viruses and their partial sequence comparison. Chin. J. Viro., 16:341-346.

7- Fadly, A. M., and L. N. Payne. (2002); Leukosis/sarcoma group, p. 465–516. InY. M. Saif, H. J. Barnes, A. M. Fadly, L. R. McDougald, D. E. Swayne, and J. R. Glisson (ed.), Diseases of poultry, 11th ed. Iowa State University Press, Ames, IA.

8- Fadly A.M., and Payne, L.N., (2003); Leucosis / Sarcoma group. In: Diseases of poultry. 11th ed. Saif, Y.M.; (eds). Iowa state Univ. press, Ames, Iowa; PP 465-516.

9- Hair. M.-Bejo, P.T. Ooi and W.S. Phang (2004); Emerging of Avian Leukosis Sub-group J (ALV-J) Infections in Broiler Chickens in Malaysia. International Journal of Poultry Science 3 (2): 115-118.

10- Payne, L.N., Nair, V (2012.); the long view: 40 years of avian leukosis research. Avian Pathology 41 (1), 11–19.

11- Payne, L. N., S. R. Brown, N. Bumstead, K. Howes, J. A. Frazier, and M. E. Thouless (1991); A novel subgroup of   exogenous avian leukosis virus inchickens. J. Gen. Virol. 72:801–807

12- . Peng Zhoa, zhizhong Cui, Chengtai Ma, Xuan Dong and Deqing Li (2012); Serological survey of the avian leucosis virus infection in china native chickens. Journal of animal and veterinary advances 11 (14): 2584-2587.

13- Sayuri Nakamura, Kenji Ochiai, Akihiro Ochi, Hiroki Yabushita, Asumi Abe, Sayaka Kishi, Yuji Sunden, Takashi Umemura. (2014); Cardiac Pathology and Molecular Epidemiology by Avian Leukosis Viruses in Japan PLOS ONE January 2014 | Volume 9 | Issue 1 | e86546.

14- Smith, L. M., S. R. Brown, K. Howes, S. McLeod, S. S. Arshad, G. S. Barron, K. Venugopal, J. C. McKay, and L. N. Payne (1998); Development and application of polymerase chain reaction (PCR) tests for the detection of subgroup J avian leukosis virus. Virus Res. 54:87–9.

15- Stedman N.L and. Brown T.P (2002); Cardiomyopathy in Broiler Chickens Congenitally Infected with Avian Leukosis Virus Subgroup J Vet .Pathol 39:161–164

16- Xu, B., W. Dong, C. Yu, Z.He and Y. Lv (2004); Occurrence of avian leucosis virus subgroup J in commercial layer flocks in china. Avian Pathol., 33:13-17.

17- Yan Lin , Jing Xia , Yang Zhao , Fuyan Wang , Songcheng Yu , Nianli Zou , Xintian Wen , Sanjie Cao, and Yong Huang. (2013); Reproduction of hemangioma by infection with subgroup J avian leukosis virus: the vertical transmission is more hazardous than the horizontal way Virology Journal 2013, 10:97.

Related topics:
Authors:
Mohamed Abdel Gayed
Recommend
Comment
Share
Profile picture
Would you like to discuss another topic? Create a new post to engage with experts in the community.
Featured users in Poultry Industry
Fernanda Lima de Souza Castro
Fernanda Lima de Souza Castro
Cargill
Cargill
Gerente de serviços técnicos
United States
Shivaram Rao
Shivaram Rao
Pilgrim´s
PhD Director Principal de Nutrición y Servicios Técnicos de Pilgrim’s Pride Corporation
United States
Jose Salazar
Jose Salazar
Grupo Nutec
United States