1. Introduction
Intestinal health is a crucial parameter in ensuring the health of birds and the optimal use of nutrients because of its various functions, namely the digestion and absorption of nutrients, the secretion of mucins and immunoglobulins, and selective protection against pathogens [1]. This topic has gained even more interest in poultry production because of increasing demands for economic efficiency, animal welfare, food safety, reducing environmental impact, and banning or avoiding the use of antibiotics as a growth promoter [2,3]. Excepting the crucial role of the intestine in nutrient absorption, the digestive enzymes are of great importance to catalase the splitting of proteins, carbohydrates, lipids, and other nutrients for more digestible molecules [4]. The link between intestinal health and nutrition is indisputable, covering gut development, microflora, and microstructure. Dietary factors, such as composition, digestibility, and feeding methods, could influence intestinal integrity and the ecosystem [5]. Currently, there is a growing interest among researchers about how some feeds can help maintain animal health beyond their traditional nutritive value [6]. The antibiotic treatment used for bacterial and other animals’ diseases is prohibited be cause of the residues it leaves in animal products (e.g., eggs, meat, milk) and its impacts on human health. It is, therefore, necessary to find natural alternatives, especially using natural ingredients from plant and plant-derived by-products [7]. Feeding poultry various plant/by-products to enhance intestinal health and thus improve performance is one strategy that has attracted prominent attention [8]. Natural sources such as meals, plants, fruits, essential oils, and different extracts and mixtures are important sources of carbohydrates, proteins, lipids, amino acids, and other valuable nutrients [9]. Many of them have been tested previously in other poultry trials with positive effects on health [10–12]. Moreover, many of these dietary supplements promote intestinal health and integrity by being rich in fibers and amino acids, which are major nutrients for maintaining intestinal mucosal integrity and supporting the growth of microorganisms in the gut [13].
Watermelon (Citrullus lanatus) is a major fruit widely distributed in the tropics. It contains about 6% sugar and 91% water by weight [14]. The pulp (edible for human consumption) constitutes approximately 68% of the total weight, while the rind and seed makeupapproximately 32%, of which 2%isseeds[15]. Like many other fruits, it is a source of vitamin C, serving as a good source of phytochemicals [16], with a significant amount of citrulline. Citrullus lanatus rind possesses significant amounts of moisture (10.61%), ash (13.09%), crude protein (11.17%), fat (2.44%), and carbohydrates (56%) [17]. Watermelon rinds are edible, being rich in many hidden nutrients, but because of their unappealing flavor, most people avoid eating them [18]. For this reason, watermelon rind has become a good candidate for poultry feeding, with a beneficial effect on health.
Sea buckthorn (Hippophae rhamnoides), an ancient crop with modern virtues, has been utilized not only for feeding purposes but also as a traditional medicine to prevent or treat various diseases, such as inflammation, gastric ulcers, and dermatological disorders [19–21]. Sea buckthorn berries consist of pulp (68%), seed (23%), and peel (7.75%) [22], containing many bioactive compounds such as antioxidants, flavonoids, and polyphenols [23,24]. Due to the nutritional and functional properties of sea buckthorn, it has gained popularity all over the world, which makes this fruit residue (meal) a good candidate as a dietary feed because of its high antibacterial and antiviral effects.
Therefore, the objective of the current study was to investigate the impact of watermelon rind and sea buckthorn meal on performances, blood parameters, intestinal health, and gut morphology changes in laying hens.
2. Materials and Methods
2.1. Plant Materials Preparation
Watermelon fruits (Citrullus lanatus) were purchased from the agri-food market in the southern region of Romania. After removing the flesh, the obtained rinds were cut with a stainless-steel knife into small pieces with lengths of 1 cm and thicknesses of 0.8 cm for their faster drying. Before drying, watermelon peels were weighed using an electronic balance (Kern Precision, Germany), whereupon they were placed in drying trays and then in a BMT drying oven, an ECOCELL Blueline Comfort (Nuremberg, Germany), at a constant temperature of 65 C for 48 h. After drying (48 h in the oven), the rind (shell) was weighed to determine the initial moisture content, then milled to a powder in a laboratory hammer mill with a 1 mm screen. Sea buckthorn meal was purchased from a commercial producer located in the southern part of Romania (2-EProd SRL, Teleorman). The meal was obtained by cold pressing (ROC technology) of sea buckthorn fruits and mechanical oil extraction, through high-speed extraction (HSE) rooms. By optimizing the cold pressing parameters (temperature, pressure, and humidity), sea buckthorn meal consisting of cellulose and protein parts of pressed fruits and obtained at a temperature below 80 C, has an important content of residual oil rich in nutrients. After drying, the sea buckthorn meal was stored at room temperature (18–22 C) until further analysis. Furthermore, the watermelon rind powder and sea buckthorn meal were analyzed for their chemical composition (dry matter, crude protein, and amino acids), determined according to standard methods; the metabolizable energy was calculated using the equation by Janssen, [25] and the in vitro protein digestibility using the method proposed by Boisen and Fernandez [26]. All assays were performed in triplicate.
2.2. Birds and Diets
The 4-week trial was conducted on 90 Tetra SL layers (aged 32 weeks), homogeneously assigned to three dietary treatments (C, E1, and E2) and housed in an experimental hall equipped with Big Dutchman digestibility cages, placed on three-tier levels (3 treatments 15 replicates 2 birds per cage). The light regimen was set according to the Tetra SL hybrid guidebook (16 h light/8 h darkness), with 23.1 1.0 C average temperature/period, 66.4 5.7% humidity and 1.7 0.1% ventilation per layer. The laying hens had free access to feed and water. The control diet (C), based on corn-soybean meal, had 2800 kcal/kg metabolizable energy and 178 g crude protein/kg of feed and was the same for all three groups (Table 1). Unlike the C diet, the experimental diets included 10 g of watermelon rind/kg fed (E1) and 20 g of sea buckthorn meal/kg fed (E2). All diets were isonitrogenous and isoenergetic to provide the same level of essential amino acids (lysine, methionine, and cystine). The high concentration of crude fiber in watermelon rind and sea buckthorn meal limits their usage in higher dosages in poultry nutrition and, for that reason, we considered the optimum level of 10 and 20 g/kg diet of these ingredients. Diet formulations were developed with dedicated software (Hybrimin Futter 5) in agreement with the feeding requirements of laying hens as given by the NRC [27]. Throughout the experimental period, bodyweight (BW, g/hen), average daily feed intake (ADFI, g/day/hen), feed conversion ratio (kg feed/kg eggs), egg weight (g), and viability (%) were monitored. Bodyweight was measured at the beginning and end of the trial. To calculate these data, the cage was considered the experimental unit. Throughout the trial period, no medical treatment was applied to the hens.
Table 1. Diet formulation and chemical composition of the diets.
2.3. Sample Collection of Blood, Intestinal Content, and Intestinal Segments
Before slaughter, 18 birds were randomly selected (six birds/group) for blood sample collection (two samples/bird) at the end of the trial, according to Romanian legislation (Law 206/2004, ordinance 28/31.08.2011). For biochemical determination, approximately 3 mL of venous blood samples were aseptically collected into 9 mL plain plastic tubes (anticoagulant-free) containing 14.3 U/mL of lithium heparin and a gel for plasma separation (Vacutest, Arzergrande, Italy). Serum was separated after centrifugation. The blood samples for hematological determinations were collected into a Vacutainer tube containing ethylene diamine tetra-acetic acid (EDTA) heparin anticoagulant. After blood sampling, the same six birds from each group were slaughtered by sectioning the jugular vein and carotid artery, followed by 2 min exsanguination period, according to Romanian Law43/2014 for the handling and protection of animals used for experimental purposes (Directive 2010/63/EU). The body cavity was immediately opened to collect samples from the duodenum, jejunum, and caecal content, aseptically in sterilized plastic tubes. The samples were preserved at 20 C until light microscopy examination and determination of digestive enzymes and bacteriological analyses. Furthermore, to determine the intestinal morphometry (intestinal villus depth and crypt) from the small intestine of the hens, 3 cm lengths from two intestinal segments (duodenum and jejunum) were immediately collected from the intestinal lumen. After the samples were washed in 100 g/L buffer formalin phosphate solution to remove intestinal contents, they were processed according to standardized histological techniques for paraffin inclusion as follows: formaldehyde fixation (40 g/L buffered solutions), dehydration in successive alcohol baths, and paraffin inclusion.
Furthermore, after partial fixation (24 h) in 100 g/L formaldehyde buffered solution, the samples were modelled by cutting tissue fragments with a thickness of 3 mm. For a quick and correct fixation, the sectioned fragments were again immersed in a formaldehyde solution of the same concentration and left for another 24 h at room temperature. Subsequently, the samples were transferred to successive baths of ethyl and butyl alcohol of various concentrations for dehydration, clarified in toluene, and included in paraffin baths at 58 °C.
2.4. Determination of Proximate Chemical Composition and In Vitro Protein Digestibility
Proximate chemical composition of dietary supplements and feeds were analyzed for dry matter (DM), crude protein (CP), ether extract (EE), and crude fiber (CF) according to AOAC [28] methods. The in vitro protein digestibility (dCP) was determined by the multienzyme method proposed by Boisen and Fernandez [26], applied with modifications for working with a Daisy Incubator (Ankom), by using F57 bags with feed samples and their incubation in 2 liter jars. The nitrogen content of the feed sample was determined according to the Falade et al. [29] method.
2.5. Determination of Amino Acid Concentration
The amino acid concentration in the watermelon rind powder and sea buckthorn meal was determined by high-performance liquid chromatography (HPLC) after sample derivation with ortho-phthalaldehyde (OPA) reagent and detection at 338 nm, using chromatographic HPLC Surveyor Plus Thermo Electron equipment (Waltham, MA, USA) and a HyperSil BDS C18 column (Thermo Electron, Waltham, MA, USA) with silica, dimensions 250 × 4.6 mm, particle size 5 μm, with reverse phase, as described previously by Varzaru et al. [30].
2.6. Determination of Plasma Hematological and Biochemical Parameters
The biochemical parameters (cholesterol, triglycerides, glucose, alanine aminotransferase, phosphorus, albumin, magnesium, and total protein) analysis was performed on an automatic BS-130 chemistry analyzer (Bio-Medical Electronics Co., Ltd., Shenzhen, China). For that, blood samples were centrifugated at 3000× g in a refrigerated centrifuge (Eppendorf Centrifuge 5430R; Hamburg, Germany) for 25 min at 4 °C to obtain the serum, which was afterwards carefully transferred to plastic vials and stored at −20 °C pending further analysis. Hematologic parameters (hemoglobin, HGB; mean corpuscular volume, MCV; mean corpuscular hemoglobin, MCH; hematocrit, HCT; white blood cell, WBC; lymphocytes, LYM; red blood cell, RBC; eosinophils granulocytes, EOS; monocytes, MON; and basophils granulocytes, BAS) were determined using ADVIA 2120i—Siemens, with an automat analyzer of reference for veterinary hematology, based on flow cytometry, with peroxidase reaction and laser detection.
2.7. Light Microscopy Examination
Samples from the intestinal wall of the distal portion of the duodenum and jejunum were collected and fixed in the phosphate-buffered paraformaldehyde (conc. 40 g/L), embedded in paraffin (Tissue Tek Sakura). Thereafter, the sections were cut at 4 μm using a Microtec Cut 4055 microtome. The sections thus obtained were displayed on histological slides and stained with hematoxylin and eosin, a classic method for differentiating cell types, and subsequently fixed with Canadian balm. The intestinal segments were examined using an optical microscope (Olympus BX43, Tokyo, Japan) equipped with a camera (30 XC Olympus, Tokyo, Japan) for capturing images, using ×4, ×10, ×20, ×40, and ×100 lenses in succession. The measurements were performed for each sample, respectively the depth of intestinal villi, for six intact villi-crypt from each segment (duodenum and jejunum), using Olympus Cell Dimension software. The length of the intestinal villi was considered the distance between the apical region and the base of the villi. The depth of an intestinal crypt was considered the distance between the base of the intestinal villi and the base of the crypt.
2.8. Determination of Digestive Enzymes Activities
Maltase (EC 3.2.1.20) and Invertase (EC 3.2.1.26) activities were performed according to the method previously described by Popescu et al. [31]. Alpha-amylase (EC 3.2.1.1) activity was measured by the method of Bernfeld [32] based on the reduction of reducing groups liberated from starch with 3,5-dinitrosalicylic acid (DNS). The absorbance was determined under standard conditions at 546 nm. One unit of amylase activity (enzymatic units, U/mg) was defined as the amount of enzyme that released 1 μmole of reducing sugars as maltose in one minute at 25 °C per milligram of protein. Trypsin (EC 3.4.21.4) activity was determined according to the method described by Hummel [33] based on the use of N-p-Tosyl-L-arginine methyl ester hydrochloride (TAME) as the substrate for reacting with trypsin. The absorbance was measured at 247 nm for 10 min at 25 °C to determine the amount of enzyme that hydrolyzes 1.0 μmol of TAME in one minute per mg of protein (U/mg). The Bradford method was performed to determine the total protein concentration. Bovine serum albumin (BSA) was used as a standard.
2.9. Microbiota Characterization
Cecal samples were collected from each experimental batch (n = 6 animals/group) and microbial DNA isolation was done using a commercial kit (All Prep Power Viral DNA/RNA Kit, Qiagen) following the manufacturer’s instructions as follows: 250 mg of cecal content were treated with a cell lysis matrix (Power Bead Tubes, Glass 0.1 mm) enzyme digestion for the isolation of nucleic acids, followed by spin column purification. The concentration and purity of the microbial AND were quantified using a Qubit4 fluorometer and a Qubit Broad range DNA kit (Applied Biosystems, Waltham, MA, USA). The concentration of all DNA samples was adjusted to 3 ng/μL in sterile nuclease-free water. The relative abundance of microorganisms in cecal DNA was quantified in real time-PCR using an Applied Biosystems ViiA7 instrument. The total number of bacteria in the samples was quantified with universal primers for 16S rDNA, as presented in Table 2. Real-time PCR reactions were done using the SYBR Green Master Mix (Applied Biosystems) and specific primers for different taxa. Each PCR reaction included 200 nM of forward and reverse primers, 9 ng of DNA. Samples were incubated at 95 °C for 5 min and then amplified by 40 cycles in three steps at 95 °C for 10 s, 60 °C for 30 s and 72 °C for 1 s.
Table 2. Primer sequences used for microbiota characterization.
2.10. Statistical Analysis
All data were subjected to a one-way ANOVA method with Tuckey as a post hoc test. The differences between the groups regarding hematological and biochemical parameters, performance, and intestinal morphology (villi length, crypt depth and villi length: crypt depth ratio) were analyzed using a one-way ANOVA using IBM SPSS Statistics (version 27.0 for windows, SPSS Inc., Chicago, IL, USA) according to the following model:
Yij = +Ti+eij
where Yij is the mean of the jth observation of the ith treatment, μ is the overall mean of the samples, Ti is the effect of the ith treatment, and eij is the effect of the error.
The same program was used for Pearson’s correlation analysis to test the association between performance parameters (ADFI, BW, FCR), digestibility of nutrients (dCP), intestinal microbiota, and histology of the duodenum and jejunum of the laying hens across the dietary groups. The graphs for digestive enzyme activities and microbiota characterization were statistically performed using GraphPad Prism 3.03 software (GraphPad Software, La Jolla, CA, USA). Values were determined to be significant when * p < 0.05, ** p < 0.001, or by different letters indicating significant difference between groups (p < 0.05).
3. Results
3.1. Chemical Composition of Dietary Supplements
The chemical composition and amino acid (AA) content of the studied supplements are presented in Table 3. Comparing the two dietary supplements, we observed that sea buckthorn meal had higher crude protein (CP), gross energy (GE), and metabolizable energy (ME) content compared to watermelon rind. On the other hand, the highest nitrogen digestibility coefficient (NDC) of in vitro protein degradability was determined in the watermelon sample. From the total AA, glutamate, arginine, aspartate, valine, alanine, leucine, lysine, and threonine were the most representative in watermelon rind, while in the sea buckthorn meal, glutamate was followed by aspartate, arginine, leucine, serine, phenylalanine, lysine, and threonine. Nevertheless, the ratio between the essential (AAE) and non-essential amino acids (AANE) was similar between the two studied supplements (1.290 vs. 1.283%).
Table 3. Chemical composition of watermelon rind powder and sea buckthorn meal.
3.2. The Impact of Watermelon Rind and Sea Buckthorn Meal on Serum Hematological and Biochemical Parameters of Laying Hens
The use of dietary watermelon rind and sea buckthorn meal on the hematological parameters (Table 4) of laying hens showed no significant effect (p > 0.05) across groups. On the other hand, they had a significant impact (p < 0.05) on cholesterol and triglycerides in both E1 and E2 laying hens, compared with the hens from the C group (Table 5).
Table 4. Hematological parameters of laying hens fed diets supplemented with watermelon rind and sea buckthorn meal.
Table 5. Biochemical parameters of laying hens fed diets supplemented with watermelon rind and sea buckthorn meal.
3.3. Effects of Watermelon Rind and Sea Buckthorn Meal on Laying Hen Performance
The impacts of watermelon rind and sea buckthorn meal feed on hens’ performances are shown in Table 6. The experimental diets had no effects on the final bodyweight of the birds at the end of the trial. Average daily feed intake and viability were not influenced by the treatments. The feed conversion ratio was significantly (p < 0.05) impacted by feeding the E2 diet compared with the C and E1 diets. Egg weight was significantly impacted among the groups, as well as the egg weight classification.
Table 6. The effect of experimental diets on laying hen performance.
3.4. Histology of the Duodenum and Jejunum
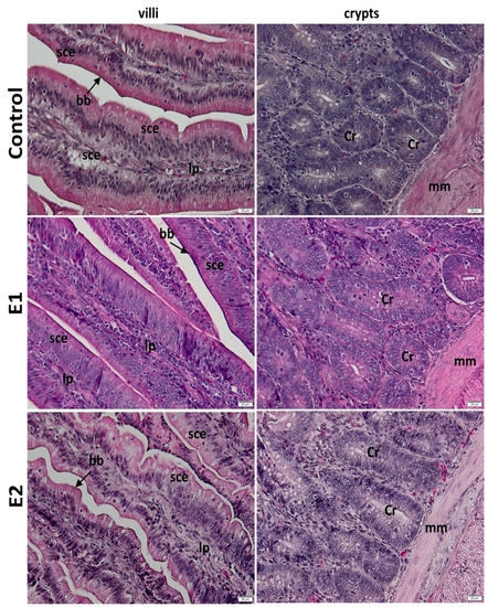
The impact of dietary supplements on villus length and crypt depth determined in the duodenum are presented in Table 7. From the obtained results, we observed that villi length was significantly greater for E1 and E2 groups compared to the C group (p < 0.001), while the depth of the crypts was significant (p < 0.05) just for the E2 group. Both morphometric measurements were significantly higher (p < 0.05) in the E2 group compared to the C group, while higher than the E1 group it was only the depth of crypts. Also, laying hens from the E2 group had significantly (p < 0.005) greater duodenum depth of crypt than those of the E1 group, both of them being higher than the C group.
Table 7. Measurements of the villi length and crypt depth for the duodenum and jejunum of experimental groups in comparison with the control group.
As in the case of the duodenum, villus length and crypt depth (Table 7) from the jejunum were significantly greater for E1 and E2 groups compared to the C group (p < 0.001). Both morphometric measurements showed significantly higher (p < 0.005) impact for the E1 and E2 groups compared to the C group. Villi length increased significantly (p < 0.005) in E1 and E2 when compared with C. The group supplemented with watermelon rind was also consistent, having the longest villi in the jejunum.
The intestinal morphometry appearances of the duodenum and jejunum are illustrated in Figure 1 and Figure 2.
Figure 1. Effect of watermelon rind and sea buckthorn supplementation diet on the duodenum morphology of laying hens. The basal diet served as the control and the experimental groups were supplemented with watermelon rind (E1) and sea buckthorn (E2); sce, simple columnar epithelium; lp, lamina propria; cr, crypt; mm, muscularis mucosa. Bb, brush border; H&E (Hematoxylin and Eosin), Barr—20 μm.
Figure 2. Effect of watermelon rind and sea buckthorn supplementation diet on the jejunal morphology of laying hens. The basal diet served as the control and the experimental groups were supplemented with watermelon rind (E1) and sea buckthorn (E2); sce, simple columnar epithelium; lp, lamina propria; cr, crypt; mm, muscularis mucosa. Bb, brush border; H&E (Hematoxylin and Eosin), Barr—20 μm.
3.5. Intestinal Enzymes Activities
In the duodenum, the specific activity (SA) of E1 maltase increased by 167% and by 120% for E2 compared to the C group (Figure 3). In the jejunum, the same enzymatic activity decreased by 35% in the E1 group, while for E2, it was increased by 41% compared to the C group (Figure 4). Regarding the SA of invertase in the jejunum, no modification was observed in the duodenum of the E1 group, whereas, in the E2 group, it increased significantly (p < 0.05) by almost 212% compared to the C group (Figure 3), which demonstrates that the basal diet supplemented with sea buckthorn (E2) determined a significant modification of invertase SA at the duodenum level compared to the C group. The results revealed a decrease of the SA of alpha-amylase in the E1 and E2 groups for the duodenum intestinal part compared to the C group but without significant effect (Figure 3), while in the jejunum segment of the intestine, the E2 group was significantly (p < 0.05) lower compared with the C group. The SA of trypsin in the duodenum was significantly (p < 0.01) impacted by the E1 and E2 experimental diets compared with the C diet. Furthermore, the enzymatic SA of alpha-amylase in the jejunum was significantly lower in E1 and E2 (p < 0.01) compared with the C group, whereas the trypsin enzymatic SA in the jejunum segment of laying hens was without modifications (p > 0.05), even if it tended to be lower in the E2 group.

Figure 3. Effect of watermelon rind (E1) and sea buckthorn meal (E2) supplementation on the enzymatic specific activity (SA) of maltase and invertase, expressed as U/mg protein, from the duodenum mucosa. Significant at * p ≤ 0.05; significant at ** p ≤ 0.01; (n = 6); n: number of replicates; ns: none significant.
Figure 4. Effect of watermelon rind (E1) and sea buckthorn meal (E2) supplementation on the enzymatic specific activity (SA) of alpha-amylase and trypsin, expressed as U/mg protein, from the jejunum mucosa. Significant at * p ≤ 0.05; significant at ** p ≤ 0.01; (n = 6); n: number of replicates; ns: none significant.
3.6. Intestinal Microbiota
The relative abundance of Firmicutes phylum was significantly (p < 0.01) higher in both the E1 and E2 groups compared to the C group (Figure 5). Feeding laying hens the E1 and E2 diets led to a significant (p < 0.05) decrease in abundance of Bacteroidetes phylum. For the relative abundance of Bacteroidetes, the E2 group was significantly lower (p < 0.05) than both the C and E1 groups. Furthermore, the experimental diets aimed to trigger beneficial modifications of the microbiota by enrichment of bacteria with probiotic potential while diminishing the abundance of potentially pathogenic bacteria such as Enterobacteriaceae. The abundance of Lactobacillus spp. in isolated cecal samples from laying hens fed with different dietary formulas was significantly impacted in both experimental groups compared with the C group.

Figure 5. The relative abundance of Firmicutes (A), Bacteroidetes (B), Enterobacteriaceae (C), and Lactobacillus spp. (D), as determined by qRT-PCR; Eubacteria 16S was used for normalization; Each column represents the relative average abundance among the treatments, (n = 6), * p < 0.05, ** p < 0.01, (unpaired t-test). ns: none significant.
3.7. Correlation between Performance Parameters, Digestibility of Nutrients, Crude Fiber Content, Intestinal Microbiota, and Histology of the Duodenum and Jejunum of the Laying Hens
The Pearson’s correlation was calculated between performances (ADFI and BW), digestibility of crude protein (dCP), CF, intestinal morphometry (VL, CD and V:C ratio), intestinal enzymes activities (maltase, invertase, amylase, and trypsin), and the relative abundance of Firmicutes, Enterobacteriaceae, Lactobacilli, and Bacteroidetes in the intestinal microbiota. The correlation results are presented in Figure 6. Positive correlations were found between dCP (r = 0.992, p < 0.05) and CF, dCP (r = 0.999, p < 0.05) and maltase (duodenum), BW (r = 0.988, p < 0.05) and invertase (duodenum), CF, VL (jejunum) (r = 0.998, p < 0.05) and the VL:CD ratio (duodenum), CD (duodenum) (r = 0.994, p < 0.05) and Lactobacilli, invertase (jejunum) (r = 0.997, p < 0.05) with amylase (jejunum), amylase (jejunum) (r = 0.991, p < 0.05) and amylase (duodenum), Firmicutes (r = 0.992, p < 0.05) and Lactobacilli, and Enterobacteriaceae (r = 1.000, p < 0.01) and Bacteroidetes. In contrast, amylase (duodenum) is negatively correlated with dCP (r = −1.000, p < 0.01) and amylase (duodenum) (r = −1.000, p < 0.01), dCP with amylase (jejunum) (r = −1.000, p < 0.01), CF (r = −0.991, p < 0.05) with invertase (jejunum), amylase (duodenum) (r = −0.999, p < 0.05) with VL (duodenum), amylase (jejunum) (r = −0.995, p < 0.05) with CD (duodenum), maltase (duodenum) (r = −1.000, p < 0.01; r = −0.993, p < 0.05)) with amylase (duodenum) and amylase jejunum, Firmicutes (r = −1.000, p < 0.01) with Enterobacteriaceae and Bacteroidetes, Enterobacteriaceae (r = −0.993, p < 0.05) with Lactobacilli, and Lactobacilli (r = −0.992, p < 0.05) with Bacteroidetes.

Figure 6. A heatmap showing Pearson’s correlations between multiple parameters, predominant genera in the duodenum, jejunum, and intestinal morphology. Yellow indicates a positive correlation; blue indicates a negative correlation. Abbreviations: VL, villous length; CD, crypt depth; VL: CD, villous length: crypt depth.
4. Discussion
The CP contents determined in watermelon rind and sea buckthorn meal were 95.6 g/kg and 145.1 g/kg, respectively, which were lower than those reported by Hoque and Iqbal [21], but higher than the values reported by Al-Sayed and Ahmed [23]. Similarly, variable differences in the chemical composition of sea buckthorn meal, ranging from 11.44% to 18.30% or 20.87% were reported by others [34,35,36]. The CF content was 168.4 g/kg for watermelon rind and 205.2 g/kg for sea buckthorn meal; this result shows a significant difference between the two supplements. Different values are reported in the literature as well for CF in watermelon ranging from 1.57% to 7.8%, and 14.50% [37,38,39]. For the sea buckthorn meal, the CF values reported are higher than in the watermelon rind, which is in line with our results [35,40]. The concentration of AA determined in our dietary feed ingredients showed variable differences when compared with those found in the literature [41]. The AAs are very important because they play important roles in regulating the properties and functions of intestinal epithelial cells, digestion of food, absorption of nutrients, and protection of the body from microbial infections [42].
In the current study, hematological parameters were not impacted by dietary ingredients. These results for all the parameters fall within the normal range values established for birds [43]. The nutritional state of the animal is shown by normal hematological levels. As a result, the normal values found in this study imply that the birds’ nutritional needs are being met. It also suggests that the birds’ immune systems are adequate. However, from the biochemical parameters, the cholesterol and triglyceride concentrations in the serum of the E1 and E2 groups were significantly impacted. This effect is probably caused by the dietary ingredients used, which present a hypocholesterolemic effect, resulting in lower cholesterol and triglyceride concentrations. Another explanation is that watermelon rind and sea buckthorn have indirect inhibitory effects exerted at the levels of reductase, which is a key enzyme in cholesterol biosynthesis. This result suggests that the studied dietary ingredients were capable of reducing serum cholesterol and triglycerides; therefore, they could be helping to reduce the deposition of cholesterol in the eggs. This finding agreed with the results reported by others [44,45,46], who observed decreased cholesterol and triglycerides in birds fed with plants and herbs as dietary feed additives.
The beneficial impact of these by-products on biochemical parameters is negatively correlated with the production performances of laying hens. The dietary supplements tested were not significant contributors to the BW or ADFI of laying hens, but the FCR (g feed/g egg) was significantly impacted in the E2 diet compared with the E1 and C diets. We assume that this effect is produced by the high crude fiber content present in the sea buckthorn meal. The significant alteration of FCR was also previously reported when sea buckthorn was used [47,48,49] without effect on ADFI. Furthermore, the E1 and E2 diets significantly impacted average egg weight. This effect was caused by the fact that both the E1 and E2 groups had significantly fewer large eggs compared with the C group, while the E1 had a significantly higher (p < 0.001) percentage of medium-weight eggs. In line with our results, we reported that Moringa olifera leaves, up to 15% in laying hens’ diets, significantly decreased egg weight while increasing the FCR [50,51,52]. The observed decrease in egg weight and increased FCR in the current study could be associated with the presence of some anti-nutritional factors present in these feed additives that have resulted in better bird health with decreased production, as was speculated by some authors [53,54]. From a physiological point of view, first, hens can suffer as egg size increases, and second, larger eggs tend to have thinner shells because there is a limited amount of calcium carbonate a hen can access from her diet and bones. This will cause wastage of eggs as they crack, as well as financial loss to the egg producer. From an economic point of view, because both the watermelon rind and the sea buckthorn can be obtained for free from the processing factories to minimize waste pollution, this could lower the price of feed by replacing some of the main ingredients (corn, soy). However, obtaining watermelon rind involves a higher consumption of energy resources for the drying process. This can lead to additional costs. Although we believe that the recycling and reuse of this by-product in poultry feed is an attractive and nutrient-rich source, an assessment of the costs involved in the large-scale production of this feed is needed. Regarding egg weight, as shown in the EC Regulation [55], all class A eggs, which include S, M, L, and XL eggs, are sold in kg, not based on their individual weights. With respect to consumer preferences, some studies showed that while some consumers prefer larger eggs, others prefer medium eggs, but healthier ones from healthy animals [56,57]. However, it is difficult to explain why the addition of sea buckthorn meal caused higher FCR and lower egg weight. This aspect needs further research.
The present results show that the light microscopic examination parameters (villus length and crypt depth) in both intestinal segments (duodenum and jejunum) were normal, which means they had similar nutrient absorption in the duodenum and jejunum. Villus length and crypt depth are important indicators for intestinal health and highlight the absorptive capacity of the mucous membrane [58,59], which further stimulates the selective population of intestinal microbiota. This achievement suggests that dietary watermelon and sea buckthorn meal could increase the intestinal surface area and, consequently, enhance the absorption of the available feed nutrients. Maintaining or increasing villus length provides a good surface area for the available nutrient absorption. For normal poultry growth, body development and physiological functions come from diet nutrients, which are further digested and absorbed, for which the gastrointestinal tract plays an important role. For this reason, intestinal integrity plays a crucial role in animal growth development by promoting nutrient digestion and absorption [60,61]. Some histological studies have shown that the intestinal villi lengths in chickens [62,63] are well recognized as being affected by dietary components, as previous studies reported that intestinal villi were shorter and narrower in chickens fed unbalanced diets compared with those fed a nutritionally well-balanced diet [64,65]. In our study, the dietary supplements used affected the structure of the small intestine in laying hens, characterized in part by a lengthening of the total luminal villus absorptive area, which further resulted in satisfactory digestive enzyme action and higher transport of nutrients at the villus surface. In addition, the changes that appear in intestinal morphology may influence nutrient metabolization and animal performance because longer intestinal villi are correlated with improved gut health [66,67]. Based on these microscopic results, dietary watermelon rind and sea buckthorn could offer a competitive advantage over the control diet, resulting in the improved intestinal health status of the laying hens. Data reported in the literature from when laying hens were fed with different dietary supplements concur with our results [68,69,70]. However, it was reported that the lengthening of villi may increase the total luminal villus absorptive area, but, in addition, the changes that appear in intestinal morphology may influence nutrient metabolization and animal performance [71]. Data reported in the literature when laying hens were fed different dietary supplements concur with our results, but to our knowledge, there are no studies available on the effect of dietary watermelon rind on the intestinal traits of laying hens. The maltase activity significantly increased in both duodenum and jejunum in the E2 compared to the C group, while the activity of alpha-amylase significantly decreased in the jejunum of both experimental groups compared to the control. Also, the sea buckthorn added in the E2 diet determined an increase of invertase specific activity at the duodenum level. These improvements produced by the use of dietary watermelon rind and sea buckthorn have further implications in maintaining normal intestinal digestion and the absorption functions of nutrients. The activities of intestinal digestive enzymes, including α-amylase, trypsin, maltase, and invertase, are considered important parameters for feed efficiency and the performance of animals, playing a crucial role in nutrient digestion [72]. Amylase, protease, and lipase are important digestive enzymes, secreted from the pancreas, distributed and activated in the duodenum and jejunum small intestine sections, for nutrient digestion and absorption. However, trypsin and maltase activity has been previously observed to decrease in aging laying hens [4]. Recently, similar results were achieved [31] when hens were fed a diet including 0.5% bilberry leaves and 1% walnut leaves. So far, no information is available regarding the effect of watermelon peel and sea buckthorn meal on the digestive enzyme activities of laying hens.
Animal diet is a crucial modulator of gut microbiota composition [73]. Hence, the constituents of various dietary formulations warrant special attention in the regulation of the intestinal microflora ecosystem. In our study, the diets supplemented with watermelon rind (E1) and sea buckthorn meal (E2) triggered beneficial modifications in the microbiota by enrichment of bacteria with probiotic potential (Lactobacillus spp.), while diminishing the abundance of potentially pathogenic bacteria (Enterobacteriaceae). We noted that there was significant diversity in the relative abundance of bacterial populations among different parts of the intestinal microbiota (duodenum and jejunum). This effect is normal because each part of the intestine develops its unique microbial profile, as others have reported [74,75]. Although much research has been done regarding the effects of natural additives on the intestinal microbiota of poultry, detailed information about the impact of these dietary feed additives on chicken microbiota is still lacking. Previous studies showed that dietary supplementation with dietary plants as feed additives [76,77,78] alters the microbiota population in poultry mainly by increasing the abundance of Lactobacilli. These modifications in the gastrointestinal tract populations are caused by polyphenol’s presence in the dietary ingredients. Polyphenols can inhibit the growth of certain species (i.e., Bacteroides) while favoring other species (i.e., Firmicutes). The mechanism of polyphenol action in the intestinal microbiota was largely studied by others [79]. The microbial transformations differ depending on the type of polyphenols structures. Therefore, members of different subgroups and categories are metabolized through different pathways and result in differential effects on the gut microbiota population [80,81]. Therefore, these modifications in the intestinal segments of laying hens represent an improvement in intestinal health generated by the impact of watermelon rind and sea buckthorn meal supplementation as feed additives that can help intestinal tissue by decreasing the pathogens present in the gastrointestinal tract of birds.
The Pearson’s correlation showed a positive effect between CF and amylase, dCP and maltase, and Firmicutes and Lactobacilli in the duodenum and jejunum, while a negative correlation was observed between CF and VL, dCP and amylase, and Firmicutes and Lactobacilli with Enterobacteriaceae and Bacteroidetes. Corresponding to the alterations in cecal microbiota, Pearson’s correlation analysis further identified that genera Bacteroides, Firmicutes, Lactobacillus, and Enterobacteriaceae exhibited markedly positive or negative correlations with nutrient digestibility and/or ileal morphology, supporting that dietary watermelon rind and sea buckthorn supplementation mediated intestinal functions by targeting the gut microbiota. In the current study, the abundance of Lactobacillus was significantly increased by dietary ingredients and elicited positive correlations with the ileal villus length to crypt depth ratio, whereas the abundance of Bacteroides was significantly reduced following watermelon rind and sea buckthorn addition. Thus, Lactobacillus and Bacteroides might play essential roles in modulating intestinal morphology and nutrient digestibility in laying hens.
5. Conclusions
The current results suggest that a supplementation level of 20 g/kg of sea buckthorn had a detrimental effect on FCR and egg weight, indicating a lower supplementation level could be suitable for their use in layers’ diets. The health status was significantly improved by decreasing the cholesterol and triglyceride concentration in the serum. The present results highlight that dietary watermelon rind and sea buckthorn meal had a beneficial impact on laying hens’ intestinal morphology, leading to the development of bacteria with probiotic potential while reducing the abundance of pathogenic bacteria.
However, further research is needed concerning the dietary ingredients studied, their relationship with health status, gut microbiota, and production performances, together with their economic impact.
This article was originally published in Agriculture 2022, 12, 177. https://doi.org/10.3390/ agriculture12020177. This is an Open Access article distributed under the terms and conditions of the Creative Commons Attribution (CC BY) license (https://creativecommons.org/licenses/by/4.0/).