Weaning is considered a critical period in the piglet’s life because it is related to several stressors, such as loss of contact with the mother and litter of origin, environmental and dietary changes, and the establishment of a new social hierarchy. In recent decades, due to the search for improving the zootechnical performance of weaned piglets, a range of molecules (e.g. antibiotics, copper sulfate, and zinc oxide) have been used as performance enhancers, resulting in the selection of resistant bacterial strains and the accumulation of copper (Cu) and zinc (Zn) in the environment. Due to the risks associated with the inappropriate use of antibiotics, Cu and Zn, some restrictions and prohibitions have been implemented regarding the use of these molecules as performance-enhancing additives to reduce the incidence of resistant pathogens and mitigate environmental risks arising from Cu and Zn toxicity.
In this context, the European Union banned the use of antibiotics in 2006 and Zn oxide as a performance enhancer in animal diets in 2022, and there is pressure to reduce Cu levels in diets. These bans stimulated the search for alternative additives (e.g., short and medium-chain fatty acids) that mitigate the negative effects of the post-weaning period and meet new market demands. In addition to these environmental characteristics, it is important to consider the form and dose of supplementation, environmental challenges, and how this influences discrepant results found in the literature when researching new additive alternatives.
Organic acids can be classified into two main functional categories, which are short-chain fatty acids (SCFA) and medium-chain fatty acids (MCFA). SCFA (e.g. butyric acid monoglyceride) and MCFA (e.g. caprylic and capric acid monoglyceride) are supplemented in piglet diets due to their antibacterial potential against Salmonella spp. and E. coli. In addition to this effect, SCFA, specifically butyric acid monoglyceride, increases villus height and reduces crypt depth, regulates the profile of pro-inflammatory cytokines (e.g. tumor necrosis factor alpha and interleukin 1-beta), and increases the expression of tight junction proteins (e.g. occludin and zonula occludens) in the small intestine18. These effects favor the reabsorption of fluids and electrolytes, associated with a reduction in the occurrence of diarrhea.
Table 1. Growth performance of piglets fed diets supplemented with monoglyceride blend (at 35 day of age). Data are means of 8 pens replicates per dietary treatment and 1 piglet per pen as an experimental unit. 2 Initial body weight (IBW), final body weight (FBW), average daily feed intake (ADFI), average daily weight gain (ADG), feed conversion ratio (FC). 3 Dietary treatment: control (C), or supplemented with 0.75 g/kg of a blend of fatty acids in powder form (PA), or with 3.00 g/kg of a blend of fatty acids in powder form (HPA), or with 0.50 g/kg of a blend of fatty acids in liquid form (LA), or with 2.00 g/kg of a blend of fatty acids in liquid form (HLA). 4 Pooled standard error of the mean.

Table 2. Blood profile of piglets fed diets supplemented with monoglyceride blend (at 35 days-old). Data are means of 8 pens replicates per dietary treatment and 1 piglet per pen as an experimental unit. 2 Dietary treatment: control (C), or supplemented with 0.75 g/kg of a blend of fatty acids in powder form (PA), or with 3.00 g/kg of a blend of fatty acids in powder form (HPA), or with 0.50 g/kg of a blend of fatty acids in liquid form (LA), or with 2.00 g/kg of a blend of fatty acids in liquid form (HLA). 3 Pooled standard error of the mean.

The MCFA are a readily available energy source for young animals producing energy via mitochondrial β-oxidation in the liver. The MCFAs (e.g. capric and caprylic acid) are transported to the liver via the portal system, producing ketones that are subsequently directed to peripheral tissues, serving as an energy substrate. Another function associated with capric and caprylic acid monoglycerides is the growth of the Lactobacillus bacteria population, which through fermentation helps to reduce the pH of the intestinal content and, consequently, increase the absorption of nutrients by the intestine.
Unlike previous studies that used diets containing antibiotics, Cu sulfate or Zn oxide as growth promoters, the present study evaluated fatty acid sources as the only performance-enhancing additive in diets, which diverges from the conventional approach. However, the current study is supported by several studies on the effects of butyric acid monoglyceride, capric acid and caprylic acid27 blend on intestinal health and animal performance, which allows these acids to be an alternative to the conventional additives.
In view of the above, the hypothesis of the study was that dietary supplementation composed of short and medium-chain fatty acid monoglyceride provided in powder or liquid form would improve the zootechnical performance of weaned piglets, by beneficially stimulating the immune response and supporting intestinal physiological and health functions. Therefore, the objective of this study was to evaluate the effects of combined supplementation of monoglyceride blend in diets without performance enhancers on performance, diarrhea occurrence, fecal E. coli count, blood profile, morphology, pH of intestinal content, expression of nutrient transporter mRNA, inflammatory markers, antioxidant enzymes, and tight junction proteins in piglets during the first two weeks post-weaning.
Results
There was no effect of dietary treatments on growth performance (Table 1), as well as on IgG, creatinine, and urea concentrations (Table 2). There was effect of dietary treatments on diarrhea occurrence (χ2=9.573, P< 0.05), the dietary treatments PA and LA reduced (P< 0.05) diarrhea occurrence compared to C and HPA, whereas the HLA presented intermediate results (Fig. 1).
The dietary treatments PA, HPA, and HLA reduced (P< 0.05) pH of the intestinal contents, whereas the LA diet tended (P=0.054) to reduce (Table 3). The dietary treatments PA (P=0.092), HPA (P=0.096), LA (P=0.068), and HLA (P=0.082) tended to reduce fecal E. coli count.
Fig. 1. Diarrhea occurrence of piglets fed diets supplemented with monoglyceride blend. Data are means of 8 pens replicates per dietary treatment and 1 piglet per pen as an experimental unit. Observed proportions followed by different lowercase (a, b,c) letters differ using a test of the difference between the lsmeans, through the χ2 statistic (P< 0.05). Dietary treatment: control (C), or supplemented with 0.75 g/kg of a blend of fatty acids in powder form (PA), or with 3.00 g/kg of a blend of fatty acids in powder form (HPA), or with 0.50 g/kg of a blend of fatty acids in liquid form (LA), or with 2.00 g/kg of a blend of fatty acids in liquid form (HLA).

Table 3. Jejunum pH and fecal E. coli of piglets fed diets supplemented with monoglyceride blend (at 35 daysold). Data are means of 8 pens replicates per dietary treatment and 1 piglet per pen as an experimental unit. 2 Dietary treatment: control (C), or supplemented with 0.75 g/kg of a blend of fatty acids in powder form (PA), or with 3.00 g/kg of a blend of fatty acids in powder form (HPA), or with 0.50 g/kg of a blend of fatty acids in liquid form (LA), or with 2.00 g/kg of a blend of fatty acids in liquid form (HLA). 3 Pooled standard error of the mean.

In the duodenum, villus height was increased (P< 0.05) in piglets fed LA diet and tended to increase in piglets fed PA (P=0.066), HPA (P=0.092), and HLA (P=0.057) diets (Table 4). However, there were no effects on crypt depth, villus: crypt ratio, and proportion of goblet cells in the duodenum. In the jejunum, the dietary treatments had no effects on villus height, crypt depth, and villus: crypt ratio. The proportion of goblet cells increased (P< 0.05) in piglets fed PA, HPA, LA, and HLA diets. In the ileum, dietary treatments had no effect on villus height. There was a reduction (P< 0.05) in crypt depth and an increase (P< 0.05) in the villus: crypt ratio in piglets fed PA diet. In addition, the proportion of goblet cells increased (P< 0.05) in piglets fed PA, HPA, and HLA diets, and a trend was observed (P=0.061) in piglets fed LA diet. There was a trend towards reduced (0.05≤P< 0.10) crypt depth and the number of Peyer’s patches in piglets fed HPA and LA diets.
In the jejunum, OCL mRNA expression was higher (P< 0.05) in piglets fed LA and HLA diets, and the HPA diet tended (P=0.053) to increase (Table 5). The mRNA expression IL-10 in piglets fed HPA diet was higher (P< 0.05). There was no effect of dietary treatments on the mRNA expression of GPX, SOD, CAT, ZO-1, IFN-γ, TNF-α, IL1-β, SMCT2, and MCT1.
Discussion The post-weaning transition period is challenging for piglets due to the immaturity of the gastrointestinal tract. Consequently, there is an increase in intestinal disorders, causing a reduced ability to digest and absorb nutrients, in addition to a higher occurrence of diarrhea and reduced cell development and differentiation. Our study suggests that supplementation with a monoglyceride blend of short- and medium-chain fatty acids may improve certain aspects of intestinal health, including villus height, crypt depth, goblet cell and tight junctions, and potentially contribute to piglet development by influencing intestinal structure and function. However, there was no effect on performance variables.
Table 4. Intestinal morphology of piglets fed diets supplemented with monoglyceride blend (at 35 days old). Data are means of 8 pens replicates per dietary treatment and 1 piglet per pen as an experimental unit. 2 Dietary treatment: control (C), or supplemented with 0.75 g/kg of a blend of fatty acids in powder form (PA), or with 3.00 g/kg of a blend of fatty acids in powder form (HPA), or with 0.50 g/kg of a blend of fatty acids in liquid form (LA), or with 2.00 g/kg of a blend of fatty acids in liquid form (HLA). 3 Pooled standard error of the mean.

Table 5. Relative expression of jejunum genes of piglets fed diets supplemented with monoglyceride blend (at 35 days-old). Data are means of 8 pens replicates per dietary treatment and 1 piglet per pen as an experimental unit. 2 GPX, glutathione peroxidase; SOD, superoxide dismutase; CAT, catalase; OCL, occludin; ZO-1, zonula occludens-1; IFN-γ, interferon gamma; TNF-α, tumor necrosis factor alpha; IL1- β, interleukin 1 beta; IL-10, interleukin 10; SMCT2, sodium-coupled monocarboxylate transporter; MCT1, monocarboxylate transporter 1. 3 Dietary treatment: control (C), or supplemented with 0.75 g/kg of a blend of fatty acids in powder form (PA), or with 3.00 g/kg of a blend of fatty acids in powder form (HPA), or with 0.50 g/kg of a blend of fatty acids in liquid form (LA), or with 2.00 g/kg of a blend of fatty acids in liquid form (HLA). 4 Pooled standard error of the mean.

Previous studies tested different levels and sources of SCFA and MCFA, together or separately, and found contrasting results between studies regarding piglet performance variables. These discrepant results can be attributed to environmental issues, form of supplementation, and the source of the acids tested. In addition, due to the sanitation of the experimental facilities and the weaning weight of the piglets, the CON diet provided in this study may have been effective in sustaining zootechnical performance throughout the experimental period, as reported by Valini et al..
Regarding diarrhea, our study demonstrated that animals fed the LA and PA diets presented a reduction in the occurrence of diarrhea. According to Zentek et al., combining SCFA and MCFA can modify the intestinal microbiota, helping to reduce post-weaning diarrhea. The reduction in the occurrence of diarrhea due to the addition of butyric acid monoglycerides to the diet can be attributed to the improvement in intestinal integrity.
Our study showed that the supply of fatty acid monoglyceride in different forms (PA, HPA, LA, and HLA) tended to reduce the fecal E. coli count. Capric and caprylic acids, and to a lesser extent butyric acid, have antimicrobial action in reducing diarrhea. Together, they can reduce the cytoplasmic pH of microorganisms by diffusing into the bacterial cell in an undissociated form. These acids will dissociate within the bacterial cell, resulting in reduced intracellular pH, suppression of cytoplasmic enzymes and the nutrient transport system, leading to cell death.
The intestinal bacterial population is influenced by the pH of the digesta because the more acidic the pH, the lower the growth capacity of pathogenic bacteria in the intestine. Consequently, reducing pH throughout the gastrointestinal tract contributes to increasing antimicrobial potential and aids in the proliferation of beneficial bacteria. Our study showed that the supply of fatty acid monoglyceride (PA, HPA, and HLA) reduced the pH of the intestinal content, as well as the LA diet tended to reduce it. This result can be explained by the ability of MCFA (especially capric and caprylic acid monoglycerides) to promote the selection of lactic bacteria in the proximal portion of the intestine, which contributed to the reduction of pH.
In addition to capric and caprylic acid monoglycerides, butyric acid monoglycerides, due to their low pKa value (4.82), help reduce the pH of the intestinal content, beneficially influencing the intestinal microbiota and, consequently, the fermentation and production of microbial metabolites throughout the gastrointestinal tract, corroborating the results found. This result suggests an improvement in intestinal health because there is a reduction in the passage rate and an increase in digestive enzymes (e.g. pepsin and trypsin) due to changes in pH, and this promotes better absorption of ingested nutrients (e.g. proteins, minerals, and amino acids).
Intestinal morphology is one of the main indices used to assess the digestive process and intestinal health. The height of the villi and the depth of the crypts represent the capacity for nutrient absorption and the rate of cell formation and renewal, respectively. The higher the villi, the more epithelial cells and lymphocytes are present, improving the immune response. The greater depth of the crypts refers to a higher speed of cell renewal of the villi due to the increase in the rate of epithelial desquamation or inflammatory damage to the intestinal mucosa, resulting in an increase in immature cells with lower secretory, digestive, and absorptive capacity.
The present results indicated that the LA diet promoted an increase in villus height in the duodenum, while the other treatments tended to increase villus height. In the ileum, the PA diet reduced crypt depth and improved the villus: crypt ratio, while the HPA and LA treatments tended to reduce crypt depth, corroborating the results found in previous studies that evaluated SCFA and MCFA supplementation. Diao et al. mentioned that lower pH values of intestinal content positively affect cell growth and division, as well as influence bacterial proliferation in the intestine. This is in agreement with what was observed in the present study regarding the characteristics of intestinal morphology and the occurrence of diarrhea.
The goblet cells present in the gastrointestinal tract have the function of producing mucus layer, which acts as the first line of defense of the mucosa, playing a fundamental role in intestinal homeostasis and epithelial integrity. The results of the present study demonstrated an increase in the number of goblet cells in the jejunum and ileum associated with the improvement observed in intestinal morphology. Liu et al.50 consider the increase in the number of goblet cells as an indicator of improved intestinal maturation and, consequently, benefits in morphological characteristics as observed in the present study.
Higher jejunal OCL mRNA expression was observed in piglets fed LA and HLA. Higher OCL expression denotes an important role in the regulation of epithelial permeability because it is a claudin protein belonging to tight junctions. which constitute one of the main components of the intestinal physical barrier and is crucial for epithelial integrity. The correct function of the intestinal barrier is directly associated with adequate intestinal health, with a fundamental role in intestinal development, in addition to improving the digestive and absorptive capacity of nutrients. In the present study, the improved OCL expression results are consistent with the results of pH, intestinal morphology, and goblet cells.
Peyer’s patches are the main lymphoid structures found in the lining of the small intestine, mainly in the ileum, playing a crucial role in the induction and regulation of intestinal mucosal immune responses. In the present study, a reduction in the Peyer’s patch count was observed in the ileum of piglets fed the HPA or LA diet. This suggested that there was less induction of the mucosal immune system in piglets from these dietary treatments, resulting in less stimulation of the immune system because Peyer’s patches can be considered as immune sensors of the intestine.
Furthermore, an increase in IL-10 mRNA expression as an anti-inflammatory marker was observed in piglets fed the HPA diet. According to Groot et al., the increase in the cytokine IL-10 helps protect against intestinal inflammation, in addition to maintaining the barrier function and is important in regulating intestinal homeostasis during the animal’s defense. IL-10 produced by effector T cells can be considered a self-limiting mechanism, which regulates immune responses by preventing an excessive reaction of T cells in the intestine and, consequently, helping to maintain the balance between protection against pathogens and prevention of damage to animal tissues.
The anti-inflammatory properties of butyric acid monoglyceride suggest a lower need for energy mobilization to activate the immune system, which can be allocated to the development of other systems such as the digestive system. Like butyric acid monoglyceride, capric and caprylic acid monoglycerides have immunomodulatory activities, negatively regulating the expression of pro-inflammatory cytokines (e.g. interferon gamma) and helping to control an increased response.
Conclusion
Based on the criteria evaluated, the supplementation of a monoglyceride blend composed of SCFA and MCFA, in both forms and doses, was efficient in promoting better intestinal health and morphology, and local immune response of weaned piglets. Based on practical criteria, the lowest dose of the blend, in either form, would be the most recommended.
Materials and methods
The experimental protocol follows the ethical principles in animal research (CONCEA, 2016) and was approved by the Ethical Committee on Animal Use of Universidade Federal de Viçosa, under protocol no . 069/2023. All methods were carried out in accordance with relevant guidelines and regulations. All methods were reported in accordance with ARRIVE guidelines (https://arriveguidelines.org/arrive-guidelines ).
Animals, experimental design, housing, and diets
The experiment was conducted at the research facility of Universidade Federal de Viçosa, Viçosa, MG, Brazil. A total of 40 Camborough piglets (Agroceres PIC), castrated males and females, weaned at 21 d-old and weighing 6.70±0.75 kg were allotted randomly into five dietary treatments, eight replications, and one animal per experimental unit, represented by the pen (1 piglet/pen).
The experiment was conducted only in one series, without an adaptation period. The piglets were housed in suspended pens (1.60 m × 1.00 m, 1.60 m2 /piglet), with plastic flooring, semi-automatic feeders and nipple drinkers, with free access to feed and water. The nursery room ventilation was provided with the aid of tiltand-turn glass windows. The heating of the experimental pens was controlled using one heat lamp in each pen and side heaters. The minimum and maximum temperatures in the nursery room were 26.6±2.0 °C and 31.1±1.7 °C, respectively. The minimum and maximum relative humidity in the nursery room were 55.1±9.7 and 77.1±9.9, respectively.
Piglets were fed a single-phase feeding regimen (21–35 days of age). All diets were corn and soybean mealbased with industrial amino acids and formulated according to the nutritional recommendations of the Brazilian Tables for Poultry and Swine65 (Table 6), and provided in mash form. During the experimental phase, dietary treatments consisted of: control (C), or supplemented with 0.75 g/kg of a blend of fatty acids in powder form (PA), or with 3.00 g/kg of a blend of fatty acids in powder form (HPA), or with 0.50 g/kg of a blend of fatty acids in liquid form (LA), or with 2.00 g/kg of a blend of fatty acids in liquid form (HLA). Organic acids (powder or liquid) were added in place of the inert in the CON diet. The organic acids were carefully mixed by hand in a bucket containing a corn and soybean meal. This premixing ensured an even distribution of the acids throughout the basal ingredients. Once thoroughly mixed, the mixture was transferred into the mixer, where it was incorporated into the respective treatments during the final mixing process.
For PA and LA treatment, the butyric acid monoglycerides and capric plus caprylic acid monoglycerides doses were a minimum of 0.13 g/kg and 0.04 g/kg of diet, respectively. For HPA and HLA treatment, the butyric acid monoglycerides and capric plus caprylic acid monoglycerides doses were a minimum of 0.50 g/kg and 0.15 g/kg of diet, respectively.
Feed additive composition
The source of organic acid powder tested (Balangut™ LS P, BASF, Monções, SP, Brazil) contained 17–21% butyric acid monoglycerides (C4) and 5–8% caprylic (C8) plus capric (C10) acid monoglycerides, with the remainder being a vehicle.
The source of liquid organic acid tested (Balangut™ LS L, BASF, Monções, SP, Brazil) contained 25–30% butyric acid monoglycerides (C4) and 2.5–5.5% caprylic (C8) plus capric (C10) acid monoglycerides, with the remainder being a vehicle.
Growth performance and diarrhea occurrence
Throughout the trial, the offered diet and leftovers were weighed to calculate average daily feed intake (ADFI). Piglets were weighed individually on days 21 and 35 to determine body weight, average daily weight gain (ADG), and feed conversion ratio (FC). The fecal consistency of each pig was visually assessed from d 21 to 35, using the method described by Liu et al.66. Fresh feces were scored on a 4-point scale as follows: 0=solid, 1=semi-solid, 2=semi-liquid, and 3=liquid. The diarrhea occurrence was defined as piglets without diarrhea having a fecal score of 0 and 1, and piglets with diarrhea having a fecal score of 2 and 3.
Observations were made in the morning (9h00), every day throughout the experimental period by a trained evaluator.
Bacterial count
At 35 days of age, 25 g of fresh fecal samples were obtained to determine E. coli. Sample were weighed into sterile bags, then 225 mL of 0.1% buffered peptone water (0.1% BPW) was added, obtaining a dilution of 10−1. In sequence, serial dilutions were carried out in tubes containing 9 mL of 0.1% BPW until the 10−9 dilution was reached. E. coli cultivation was performed using a Petrifilm plate (3 M™ Petrifilm™ Plate), with 1 mL of dilutions 10−3, 10−5, 10−7, followed by incubation at 35 °C±1 °C for approximately 48 h67. During reading, plates that had between 15 and 150 colonies were considered countable, with the colonies being classified as E. coli according to the manufacturer’s specifications.
Table 6. Ingredients and chemical composition of control diets fed to nursery piglets from 21 to 35 d of age (g/kg, as-fed basis). 1 The feed additives were supplemented as a replacement for the inert in the diet. 2 Composition per kg of diet: vitamin A, 12,000 IU; vitamin D3, 2,250 IU; vitamin E, 65 IU; vitamin K, 3 mg; thiamine, 2.25 mg; Riboflavin, 6 mg; pyridoxine, 2.25 mg; vitamin B12, 27 µg; folic acid, 400 µg; biotin, 150 µg; pantothenic acid, 22.5 mg; niacin, 45 mg; copper sulfate, 10 mg; iodine, 1.5 mg; iron sulfate, 100 mg; manganese sulfate, 40 mg; sodium selenite, 0,3 mg; zinc oxide, 100 mg. 3 Natuphos®, Basf enzyme. 4 Standardized ileal digestible.
Sample collection
At 34 days of age, blood was collected from each experimental unit. The animals were not fasting. Blood was collected (08h00) by orbital sinus puncture with a hypodermic needle (40 mm × 1.6 mm) into 10 mL tubes without anticoagulants. Samples were immediately sent at room temperature to the Viçosa Clinical Laboratory (Viçosa, MG, Brazil), where they were centrifuged for 12 min at 7,000 rpm for subsequent determination of urea (Ureal Cobas C311, Linklab, PNCQ software), creatinine (WS Kovalent, kinetic method, ASB-380, Mindray) and immunoglobulin G (IgG) concentrations (Atellica® CH IgG_2 assay, CH Analyzer, Siemens Healthineers).
After weighing, the piglets were electrically stunned (240 volts for 3 s) followed by exsanguination to collect samples on d 35. The viscera were exposed by a central incision. The intestinal contents were collected by sectioning the intermediate portions of the jejunum and immediately used to assess pH. Fragments measuring (2 cm length) were sampled (8 piglets/treatment) from the duodenum (10 cm from the pylorus junction), jejunum (mid-section), and ileum (5 cm from the ileocecal junction) for histological evaluation.
The histological sections were then washed in a physiological solution (0.9% sodium chloride) and fixed in 4% paraformaldehyde solution (100 mL 40% paraformaldehyde, 900 mL distilled water, 2.28 g monobasic sodium phosphate, and 21.74 g dibasic sodium phosphate)6 for 24 h at room temperature. Another 2 cm of jejunum was collected and immediately frozen in liquid nitrogen, stored at − 80 °C for RNA extraction and gene expression analysis.
pH of jejunum contents
The pH was obtained by coupling the pH electrode inside a pot (50 mL) containing digestive contents from the jejunum. The pH meter used (Tec-3MP, Tecnal) was calibrated in a calibration solution of known pH (4.0 and 7.0), following the manufacturer’s recommendations. The electrode was washed with distilled water and the pH meter recalibrated between measurements.
Intestinal morphology, Peyer’s patches, and goblet cells
All the sampling and preparation procedures were done according to Correia et al.3 . After 24 h of fixation, the fragments of the duodenum, jejunum, and ileum were transferred to an ethanol solution 70% (v/v). Then, the samples were cut into cross-sections and dried in increasing gradients of ethanol, diaphanized in HistoChoice®, and embedded in liquid Paraplast® at 65 °C. Five cross-sections (5 μm thickness each) were placed per slide and stained with hematoxylin and eosin. The sections were semi-serial, using 1 in 10 cuts. For morphological readings of villus height and crypt depth in the duodenum, jejunum, and ileum, an EVOS™ M5000 Cell Imaging System optical microscope (Invitrogen, Thermo Fisher Scientific) with a 10-objective lens was used. The images were analyzed using ImageJ 1.50i (Java1.6.0_20; National Institutes of Health, USA). Heights of 20 villus and their 20 crypts were selected and measured. Villus to crypt ratios using the length data were then calculated. All measurements were made by a single trained individual. In the ileum fragment, the total count of the Peyer’s patches was performed at 4× magnification.
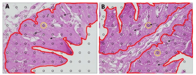
To assess the goblet cells in the duodenum, jejunum, and ileum, 10 fields per slide were photographed at 20× magnification. Subsequently, the ImageJ program was used, and perpendicular lines were inserted with markings in uniformly sized quadrants under each image. The total number of intersections in the image and the cells that touched the intersections were counted (Fig. 2). The calculation was made according to the methodology proposed by Mandarim de Lacerda:
Relative mRNA abundance
All the sampling and preparation procedures were done according to Correia et al.3 (2024). Total RNA was extracted using a commercial kit (SV Total RNA isolation kit – Promega, Z3100), following the manufacturer’s instructions. The RNA concentration was estimated using NanoDrop™ Lite (Thermo Fisher Scientific), and RNA integrity was assessed using 1% agarose gel electrophoresis. Complementary DNA was synthesized according to the GoScript™ Reverse Transcription System protocol (Promega Corporation). GenBank numbers used to access the gene primers are shown in Table 7. Primers were used for reverse transcription quantitative PCR with GoTaq® qPCR Master Mix (Promega) in QuantStudio® 3 (Applied Biosystems, Thermo Fisher Scientific). Geometric mean of Ct value of β-actin was used to normalize the expression of the target genes for the jejunum samples. The relative expression of the gene of interest was calculated by ΔΔCt70 for glutathione peroxidase (GPX), superoxide dismutase (SOD), catalase (CAT), occludin (OCL), zonula occludens-1 (ZO-1), interferon gamma (IFN- γ), tumor necrosis factor alpha (TNF-α), interleukin 1 beta (IL1-β), interleukin 10 (IL-10), sodium-coupled monocarboxylate transporter (SMCT2), and monocarboxylate transporter 1 (MCT1).
Statistical procedures
The pen was considered the experimental unit for growth performance, diarrhea occurrence, intestinal morphology, gene expression, and blood profile. The statistical model included the fixed effect of dietary treatment and residual error as random factors. The normality of experimental errors was evaluated using Shapiro-Wilk. The data were analyzed using the mixed procedure of SAS 9.4 (SAS Inst., Inc., Cary, NC, USA) via one-way analysis of variance (ANOVA). When an effect was detected in the ANOVA (P< 0.05), differences were determined by the preplanned contrasts. Averages of each of the treatments (PA, HPA, LA, and HLA) were compared versus the control treatment (CON). The statistical significance and tendency were declared at P< 0.05 and 0.05≤ P< 0.10, respectively
Fig. 2. Representative images showing goblet cells in the jejunum (A) and ileum (B). Intestinal mucosal layer, demarcated in red. Goblet cells, arrowhead. Contact area between goblet cells and the counting circle (black circle), highlighted in yellow.
Table 7. List of primers used in reverse transcription quantitative-PCR gene expression analysis in weaned piglets. 1 GPX, glutathione peroxidase; SOD, superoxide dismutase; CAT, catalase; OCL, occludin; ZO-1, zonula occludens-1; IFN-γ, interferon gamma; TNF-α, tumor necrosis factor alpha; IL1- β, interleukin 1 beta; IL-10, interleukin 10; SMCT2, sodium-coupled monocarboxylate transporter; MCT1, monocarboxylate transporter 1. 2 F and R indicate Forward and Reverse primers, respectively

The diarrhea occurrence values were transformed into piglets without diarrhea (score 0) and with diarrhea (score 1). These data were then fitted to a generalized linear model with binomial distribution and logit link function, using PROC GENMOD. The results of diarrhea occurrence were presented as observed proportions (relative frequency in %). The dietary treatment effect was verified using type III analysis. Significant differences and tendency were defined as P< 0.05 and 0.05≤ P< 0.10, respectively, and estimates for diarrhea occurrence were compared using a test of the difference between the lsmeans, through the χ2 statistic71.
Data availability
The datasets used and/or analysed during the current study are available from the corresponding author on reasonable request.