Introduction
Intensive breeding farms enhance the simultaneous occurrence of several affections. Coccidiosis is a disease of greater economic importance and affections coexist with it should be considered. Among these affections, aflatoxicosis, which have been reported to be immunosuppressive (Bakshi et al., 2000) leading to an increase in the susceptibility of chickens to avian pathogens including coccidiosis (Pier et al., 1972, Richard et al., 1973, Edds and Bortell, 1983, Saif, 2003).
Aflatoxicosis in broiler chickens has been widely investigated by the determination of their growth inhibitory effects (Oguz and Kurtoglu, 2000c). The biochemical–hematological (Oguz et al., 2000a), immunological (Qureshi et al., 1998) and pathological toxic effects of Aflatoxin (AF) have also been well described (Dafalla et al., 1987; Kiran et al., 1998).
Although the most important toxicological target of AF in chickens is the liver, the descriptions of the clinical, pathological and biochemical findings vary considerably especially if another disease arises along with it (Stoev et al., 2002). So it is important to understand the complicated clinicopathological findings of such case.
The aim of this study was to investigate the influence of interaction between dietary aflatoxin and Eimeria tenella infection in broiler chickens.
Material and methods
Parasite samples:
A field isolate of E. tenella, obtained from a previous study by Abuakkada and Ellakany (2008) from a broiler farm suffering from bloody diarrhea and daily mortality, was used for the experimental infection. This isolate was identified, purified and propagated according to Davies et al. (1963). The pathogenicity and the infective dose of the isolate were determined. The infective dose used for the experimental infection was 50,000 oocyst / chick.
Production of aflatoxin:
Aflatoxin was produced by growing standard aflatoxigenic strain on sterile polished rice by the method of Shotwell et al. (1966) and modified by West et al. (1973). Briefly, rice was cleaned, washed and autoclaved at 121 C for 15 minutes, dispensed in 500 ml Earlynmyer flasks and moistened by distilled water (10 ml/flask). Each flask was injected by 10 ml of fresh saline spore suspension of Aspergillus flavus containing 108 spores/ml, and then sealed by tight cotton cork. Flasks were incubated for 2 days at 18 C, then for other 5 days at 26 C. The flasks were shaken vigorously everyday to prevent clumping of the rice, to ensure a homogenous toxin distribution and to prevent the fungal overgrowth. Finally, the flasks were sterilized by autoclaving to kill the fungus and its spores, while toxins were restored. The rice thereafter was dried, ground in an electric blender until being powder.
Detection of aflatoxin:
Aflatoxin was detected quantitatively by using affinity column chromatography (Aflatest 10, Naremco, Springfield, USA) and flurometer (Sequcia Tuner Model 450 with 360 nm excitation filter and 450 nm emission filter) by the method of Nabney and Nesbitt(1975).
Experimental animals:
A total of 120, one-day-old un-sexed, Hubbard broiler chicks were reared for 5 weeks on a wire floor electric starter batteries where feed and water were supplied without restriction. They were fed a commercial broiler home made starter ration free from anticoccidial drugs.
Experimental design:
On the 7th day of age, all birds were weighed and allocated into 4 main groups (30 birds each) each main group included 3 replicates (10 chicks each). They were ranked by the Restricted Randomization Procedure that approximately equalized the initial body weights among the different groups. The 1st group was infected with 5x104 sporulated oocysts of Eimeria tenella/ chick. The 2nd group received a combination of E. tenella infection and dietary aflatoxin (200 ppb). The 3rd group received dietary aflatoxin alone (200 ppb). The 4th group was kept as control. Before infection, fecal samples from all birds were examined microscopically to prove that they were free from coccidial infection.
All birds were individually weighed weekly starting from 7th day of age until the end of the experiment. Chicks were infected with E.tenella sporulated oocysts on 14th days of age by direct inoculation into the crop using an insulin syringe. Intoxicated feed was supplied to birds of the 2nd and 3rd groups form 7th day of age until 2 weeks before the end of the experiment.
Parameters of evaluation:
Performance traits included body weight (BW), BW gain, feed consumption, feed conversion ratio (FCR), mortality, post-mortem examination, lesion scoring, oocyst count, histopathological examination, hematological and biochemical parameters were evaluated.
Oocyst count:
Oocyst count per gram fecal material (OPG) was evaluated from the 7th to 14th days post- infection (PI). Three samples representing each group were examined and OPG were counted using Mac Master counting technique according to Long and Joyner (1976).
Lesion scores:
Lesion scores of E. tenella were evaluated according to Johnson and Reid (1970) 5 days PI. Three birds from each group were sacrificed and cecal lesions were scored as follows:
- Score 1: few scattered petechiae on the cecal wall.
- Score 2: noticeable blood in the cecal contents, with thickened cecal wall.
- Score 3: blood or cecal cores and severely thickened cecal wall.
- Score 4: cecal wall is severely distended with caseous bloody cores and the bird is dead.
Hematological and biochemical parameters:
Blood samples were collected from all groups on the 5th day PI. They were used for determination of packed cell volume (PCV) according to Jaine (1993) and estimation of Hemoglobin concentration (Hb) according to Drabkin (1949). For biochemical analysis, blood samples were used for serum separation and evaluation of liver function tests, ALT (alanine aminotransferase) and ALP (Alkaline phosphatase) activities using commercial kits supplied from Biomerieux (France) according to Brugere-Picoux et al. (1987). Albumin determination was done according to Varely et al. (1980). Differential leukocytic counts were performed using an improved Neubaur hemocytometer. Percentage of each type of white cells was calculated according to Hawk et.al (1965).
Histopathological examination:
From those birds examined for lesion scores, 5 days PI, cecal parts as well as specimens from liver, bursa and thymus were collected, immediately fixed in 10% neutral buffered formalin, processed through the conventional paraffin embedding technique, sectioned and stained with haematoxylin and eosin (H&E) for the histopathological examination according to Culling (1983).
Statistical analysis:
Data obtained were compared using the General Linear Models (GLM) procedure and least squares means of SAS® (SAS Institute, 1989).
Results
Table (1) shows that E. tenella and aflatoxin-treated birds had significantly higher number of oocysts on the 7th, 11th and 14th days PI compared to the group infected with Eimeria tenella alone. However, total oocyst count showed no significant difference between both groups. Aflatoxin-treated and control groups were negative for E.tenella oocysts throughout the experiment.
Table (2) shows that the highest mortality rate was observed in the group treated dually with aflatoxin and E. tenella (20%) followed by the group treated with E. tenella alone (13.3%), then the aflatoxin-treated group (10%). Lesion scores of chickens 5 days PI with E. tenella did not differ significantly between groups infected with E. tenella or in combination with aflatoxins.
Growth and FCR presented in Table (3). There was a significant reduction in the final BW in all treated groups compared to control group. The reduction was observed in the aflatoxin (1133.75 g) and E.tenella-aflatoxin (1172.22 g) treated groups followed by E.tenellainfected group (1354.29 g). Also, FCR of the group treated dually with E. tenella and aflatoxins was significantly the worst value of (2.02) compared to aflatoxin treated (1.93), E.tenella infected (1.84) and control (1.70) groups.
Results in Table (4) reveals significant reduction in PCV%, Hb content and blood lymphocyte% in E.tenella-aflatoxin-treated (26.67%, 17.90 g/dl and 42.50%, respectively), E. tenella-infected (25.33%, 18.13 g/dl and 42.50%, respectively) groups compared to control group (28.00%, 22 g/dl and 45.67%, respectively). On the other hand, the three hematological parameters of aflatoxin -treated group were (28.67%, 20.60 g/dl and 44.33%, respectively) compared to control.
Table (5) shows that aflatoxin alone or in combination with E. tenella caused a significant elevation in serum activity of ALT (178.22 and 181.11 U/L), ALP (412.96 and 422.46 U/L) and a reduction in serum albumin (1.75 and 1.72 g/dl) compared to the control values (135, 285 U/L and 2.08 g/dl). E.tenella alone induced a significant reduction in serum albumin level (1.86 g/dl).
Gross Pathology:
Liver of aflatoxin-treated and Eimeria-aflatoxin-treated groups was enlarged and yellow in color. The cecum of Eimeria-treated and Eimeriaaflatoxin- treated groups was enlarged and thickened with hemorrhagic contents besides congested and hemorrhagic mucosa. Atrophy of the bursa of Fabricious and thymus was noticed in aflatoxin-treated and Eimeria-aflatoxin-treated groups.
Histopathology:
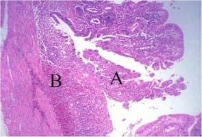
Liver of Eimeria-aflatoxin-treated group showed severe diffuse hepatocytic vacuolation (Fig.1) with presence of multifocal areas of coagulative necrosis infiltrated with mononuclear cells, primarily lymphocytes (Fig.2). Hyperplasia and desquamation of the biliary epithelium with periductal fibrosis and lymphocytic cell infiltrations were noticed (Fig.3). Similar lesions were observed in liver of aflatoxintreated group but less in severity than those of previously mentioned group. Severe cecal lesions were observed in both Eimeria-treated and Eimeria-aflatoxin-treated groups. These lesions consisted of severe mucosal and submucosal congestion, edema and hemorrhage (Fig.4) as well as mononuclear cell infiltrations, chiefly lymphocytes. In addition, the mucosal epithelium showed severe diffuse degeneration, necrosis and desquamation (Fig.5) besides presence of numerous numbers of intracellular developmental stages almost schizonts (oval structure containing basophilic banana-shaped merozoites, Fig.6). Cecum of aflatoxin-treated group showed mild degenerative and necrotic changes as well as desquamation of the mucosal epithelium (Fig.7). Lymphoid organs exhibited necrotic changes in aflatoxin-treated and Eimeria-aflatoxintreated groups, but were more severe in the latter. These changes were severe diffuse lymphocytic cell necrosis and depletion giving the bursal follicle moth-eaten appearance (Fig.8). Some bursal follicles showed large cystic cavitations devoid of lymphocytes and containing faint eosinophilic necrotic debris (Fig.9). Similar lesions were seen in the thymic follicles (Fig.10) besides interfollicular congestion.
Table (1): Effect of dietary aflatoxin and Eimeria tenella infection on mean oocyst count (103 per gram feces) from 7th – 14th day PI in broiler chickens.

PI, Post infection. AF, Aflatoxin.
Values are means ± standard errors.
Means in the same row without a common letter differ significantly (P<0.05).
Table (2): Effect of dietary aflatoxin and Eimeria tenella infection on mortality and lesion scoring 5 days PI of broiler chickens.

Values are means ± standard errors.
Different small letters indicated that means of different groups are significantly different at (P < 0.05).
Table (3): Effect of dietary aflatoxin and Eimeria tenella infection on body weight (BW), BW gain and feed conversion ratio(FCR).

Values are means ± standard errors.
Different small letters indicated that means of different groups are significantly different at (P < 0.05).
Table (4): Effect of dietary aflatoxin and Eimeria tenella infection on hematological parameters of broiler chickens.

Values are means ± standard errors.
Different small letters indicated that means of different groups are significantly different at (P < 0.05).
Table (5): Effect of dietary aflatoxin and Eimeria tenella infection on liver functions of broiler chickens.

Values are means ± standard errors.
Different small letters indicated that means of different groups are significantly different at (P < 0.05).
Discussion
Coccidiosis is one of the most important causes of economic losses in poultry industry (Williams et al., 1999). Eimeria tenella is a pathogenic species infecting chickens. Economic losses are primarily due to impaired feed conversion, depressed growth and mortality (Tipu etal. 2002). Profitability of poultry production can be greatly affected due to frequent feed contamination with AF and their detrimental effects on the performance (Hamilton, 1984). In chickens, aflatoxin increases the susceptibility to, or severity of, cecal coccidiosis, Marek’s disease, salmonellosis, inclusion body hepatitis and infectious bursal disease virus (Saif, 2003). Increased susceptibility of aflatoxicated chicks to infectious diseases indicates impaired immune responses (Bakshi et al., 2000) and breakdown of vaccinal immunity (Panisup et al., 1982).
As a general rule, growing poultry should not receive more than 20 μg of aflatoxin in the diet (Celyk, etal., 2003). Several studies in the Egyptian field tested rations and feed ingredients and proved their contamination with more than the allowed level of mycotoxins (Ellakany, 1991 and Gamal Aldeen, 2001).
This study indicated that AF may complicate the clinical picture of cecal coccidiois. Wherein, the impairments in the performance traits including body weight, body weight gain, feed conversion ratio (FCR), mortality rates as well as histopathological and biochemical alterations were intensified when chicks received a combination of aflatoxin and E. tenella infection.
Aflatoxin in ration alone or combined with E.tenella infection caused significant depression in average body weight when compared to non- infected control group. The growth depression and poor FCR may be due to anorexia, listlessness and the inhibitory effect of aflatoxin on the protein synthesis and lipogenesis (Oguz and Kurtoglu, 2000c). These results were in agreement with other reports of aflatoxin studies (Stewart et al., 1998, Allameh et al., 2005).
Regarding oocyst count and lesion scores, data showed that there was no signinficant difference between chickens received AF and E. tenella together and chickens infected with E. tenella alone. This may be due to that AF did not interfere with the developmental stages of E.tenella in broiler chickens. Similar results were recorded by Shakshouk et al.(1991).
Concerning mortality, results indicated that simultaneous aflatoxicosis and cecal coccidiosis caused higher mortality than either aflatoxicosis or cecal coccidiosis alone. These results confirmed previous findings that AF in the feed of chickens can increase the susceptibility of the host to parasitic diseases (Wyatt et al., 1975 and Shakshouk et al., 1991) and additionally indicated that subclinical coccidiosis may be accentuated by dietary aflatoxin. Increased mortality rates may be due to the immunosuppression induced by AF in diet. This was supported by the findings of pier et al (1972), Wyatt et al (1975) and Giambrone et al (1978).
The observed significant reduction in Hb and PCV values in E.tenella-infected-aflatoxin- treated group confirmed the earlier findings of Doerr and Huff (1980), Singh et al. (1992) and Mani et al. (1993). The reduction in Hb and PCV values observed during aflatoxicosis may be due to reduced protein synthesis (Sakhare, etal., 2007) resulted from aflatoxin provoked liver damage. Lymphocytic count was significantly decreased in all treated gropups in comparison with control group indicating depression of cell mediated immunity caused by both aflatoxin (Bakshi et al., 2000) and cecal coccidiosis (Lillehoj and Trout, 1993).
Moreover, significant increase in ALP and ALT serum levels was observed in E. tenella-aflatoxin-treated and aflatoxin-treated groups as a sequel of aflatoxin action. This could be attributed to the clear damage in the liver, particularly the bile ducts resulting in increased release of functional enzymes from the biomembranes. Marked significant reduction of serum albumin level was observed in the groups which received AF alone or a combination of AF and E.tenella infection compared to other groups. These biochemical findings are in agreement with Kalorey (1993) and Sakhare, etal., (2007).
Liver and the immune system organs (bursa and thymus) are considered to be target organs for AF (Ortatatli et al., 2005). Aflatoxininduced immunosuppression was explained by atrophy of the bursa of Fabricius and thymus (Saif, 2003). In addition, aflatoxin induced hepatic lesions consisted of bile duct hyperplasia and fatty changes which could be ascribed either to general inhibition of lipid transport (Tung, etal. 1972) or to interference with lipogenesis (Donaldson, etal. 1972). Similar pathological findings in the liver of broilers with aflatoxicosis were reported by Ortatatli and Oguz (2001) and Safameher (2008). These alterations were more pronounced in Eimeria-aflatoxin-treated group. Furthermore, cecal lesions were severe in both Eimeria-treated and Eimeria-aflatoxin-treated groups. Similar results were proved by Stoev, etal.(2002).
It could be concluded that aflatoxicosis in association with cecal coccidiosis may complicate the clinicopathological findings of such case resulting in enormous economic losses.
References
1. AbuAkkada SS, Ellakany HF. (2008). Sensitivity of two field isolates of Eimeria tenella from broiler chickens to salinomycin and diclazuril in a battery trial.13th Sci.Cong. 2008. Fac.Vet.Med.Assuit Univ., Egypt.
2. Allameh A, Safamehr A, Mirhadi SA, Shivazad M, Razzaghi- Abyaneh M, Afshar-Naderi A. (2005). Evaluation of biochemical and production parameters of broiler chicks fed ammonia treated aflatoxin contaminated maize grains. Anim. Feed. Sci. Technol., 122: 289-301.
3. Bakshi CS, Sikdar AT, Johri S, Malik M, Singh RK. (2000). Effect of grade dietary levels of aflatoxin on humoral immune response in commercial broilers. Ind. J. Comp. Microbiol. Immuniol. Infect. Dis. 21:163-164.
4. Brugere-Picoux G, Brujre H, Basset I, Sayed N, Vaast J, Michaux J.M. (1987). Biochemia Clinic en Pathologia Aviaire, Interet et Limites des dosages enzymatiques chez La Poule. Recuel Medicine Veterinari, 163: 1091-1099.
5. Celyk K, Denly M, Savas T. (2003). Reduction of Toxic Effects of Aflatoxin B1 by Using Baker Yeast (Saccharomyces cerevisiae) in Growing Broiler Chicks Diets. R. Bras. Zootec.,32(3):615-619.
6. Culling CF. (1983). Handbook of Histological and Histochemical Techniques. 3rd Ed., Butterworth, London, Boston.
7. Dafalla R, Yagi AI, Adam SE. (1987). Experimental aflatoxicosis in hybro-type chicks; sequential changes in growth and serum constituents and histopathological changes. Veterinary and Human toxicology. 29: 222-225.
8. Davies SFM, Joyner LP, Kendall SB. (1963). Coccidiosis. Oliver & Boyd. Edinburg & London.
9. Doerr J A, Huff RB. (1980). Interactive effects of aflatoxin and ochratoxin A on some blood constituents in broiler chickens. Poult. Sci. 59, 1600-1602.
10. Donaldson WE, Tung HT, Hamilton PB. (1972). Depression of fattyacid synthesis in chick liver (Gallus domesticus) by aflatoxin. Comp Biochem Physiol. 41B: 843–847.
11. Drabkin DL. (1949). Standerdization of hemoglobin measurements. Am. J. Med. Sci.710-712.
12. Edds GT, Bortel RR. (1983). Biological effects of aflatoxin and A.flavus in corn. U.L.Diener, Asquith, RL, and Disckens, JW. Ed. S0. Coop. Ser. Bull. 279. Ala.Agric. Exp. Stn., Auburn Univ., AL.
13. Ellakany HF. (1991). Studies on mycotic infections in broiler chickens. M.V.Sc., Poultry Diseases, Alexandria Univ., Fac. Vet. Med.
14. Gamal Aldeen Amal. (2001). Mycological examination of poultry feed stuff with special reference to mycotoxin production. M.V.Sc., Microbiology, Alexandria Univ., Fac. Vet. Med.
15. Giambrone JJ, Ewert DL, Wyatt RD, Eidson C. (1978). Effect of aflatoxin on the humoral and cell- mediated immune systems of the chicken. Am. J. Vet. Res. 39:305- 308.
16. Hamilton PB. (1984). Determining safe levels of mycotoxins. J. Food Prot. 47:570-575.
17. Hawk PB, Oscar BL, summerson W. (1965). Hawk's (Physiological chemistry) London J., and A.Churchill Ltd 14 th Ed.
18. Jain NC. (1993). Essentials of Veterinary Haematology. Lea and Febiger, Philadelphia, USA.
19. Johnson JK, Reid WM. (1970). Anticoccidial drugs: lesion scoring techniques in battery and floor-pen experiments with chickens. Exp. Parasitol., 28: 30-36.
20. Kalorey D R. (1993). Effect of aflatoxin on humoral immune system of chicks. Dissertation. Faculty of Veterinary Science, Dr. Panjabarao Krishi Vidyapeeth, Akola, India.
21. Kiran MM, Demet O, Ortatatli M, Oguz H. (1998). The preventive effect of polyvinyl- polypyrrolidone on aflatoxicosis in broilers. Avian Pathol. 27: 250-255.
22. Lillehoj HS, Trout JM. (1993). Coccidia: a review of recent advances on immunity and vaccine development . Avian Pathol. 22: 3- 31.
23. Long PL , Joyner LP. (1976). A guide to a laboratory techniques used in the study and diagnosis of avian coccidiosis. Folia Vet. Lat. 6: 201- 217.
24. Mani K, Narhari D, Kumara J R, Ramamoorthy N. (1993). Influence of dietary aflatoxin B1 on certain haematological and biochemical characters of broiler chicken. Ind. Vet.J. 70, 801-804.
25. Nabney J, Nesbitt BF. (1975). A spectrophotometeric method of determining the aflatoxins. Analyst. 90: 155-160.
26. Oguz H, Kurtoglu V. (2000). Effect of clinoptilolite on fattening performance of broiler chickens during experimental aflatoxicosis. Br. Poult. Sci. 41:512-517.
27. Oguz H, Kecec T, Birdane YO, Onder F, Kurtoglu V. (2000a). Effect of clinoptilolite on serum biochemical and haematological characters of broiler chickens during experimental aflatoxicosis. Research in Veterinary Science 69, 89–93.
28. Ortatatli M, Oguz H. (2001). Ameliorative effects of dietary clinoptilolite on pathological changes in broiler chickens during aflatoxicosis. Res Vet Sci. 71, 59-66.
29. Ortatatli M, Oguz H, Hatipoglu F, Karaman M. (2005). Evaluation of pathological changes in broilers during chronic aflatoxin (50 and 100 ppb) and clinoptilolite exposure. Research in Veterinary Science 78, 61–68.
30. Panisup AS, Shah RI, Verma KC, Mohanty GC. (1982). Atypical Ranikhet disease in broiler chicks vaccinated at frequent intervals. Ind. J. Poult. Sci.17, 224-226.
31. Peek HW and Landman WJM. (2003). Resistance to anticoccidial drugs of Dutch avian Eimeria spp. field isolates originating from 1996, 1999 and 2001. Avian Pathol. 32(4): 391-401.
32. Qureshi MA, Brake J, Hamilton PB, Hagler WM, Nesheim, S. (1998). Dietary exposure of broiler breedes to aflatoxin results in immune dysfunction in progeny chicks. Poult. Sci. 77: 812-819.
33. Richard JL, Pier AC, Cysewski SJ, Graham CK. (1973). Effect of aflatoxin and aspergillosis on turkey poults. Avian Dis. 17:111-121.
34. Safameher A. (2008). Effects of clinoptilolite on performance, biochemical parameters and hepatic lesions in broiler chickens during aflatoxicosis. J. Anim. Vet. Adv.,7(4): 381-388.
35. Saif,Y.M., (2003). Diseases of poultry. 11th Ed.Iowa State Press. A Blackwell Publishing Company.
36. Sakhare PS, Harne SD, Kalorey DR, Warke SR, Bhandarkar AG, Kurkure NV. (2007). Effect of Toxiroak polyherbal feed supplement during induced aflatoxicosis, ochratoxicosis and combined mycotoxicoses in broilers.Vet. arhiv. 77, 129-46.
37. SAS Institute. (1989). SAS / STAT User Guide, Version 6, Fourth Edition. SAS Institute Inc., Cary, NC.
38. Shakshouk AGR, Abd El- Hamid HS, Bekhiet ABA. (1991). Eimeria tenella infection during aflatoxicosis and administration of anticoccidial drugs. Alex. J. Vet. Sci. 7:121-131.
39. Shotwell OL, Hesseltine CW, Stubblefield and Sorenson WG. (1966). Production of aflatoxins on rice. Appl. Microbiology, 14: 425-428.
40. Singh A, Satija K C, Mahipal S K. (1992). Haematological and biochemical studies on broiler chicks fed aflatoxin B1 and after its withdrawal. Ind. J. Poult. Sci. 27, 153-156.
41. Stewart S, Kai-Lu X, Huff WE, Kubena LF, Harvey RB, Dunsford HA.(1998). .Aflatoxin exposure produces serum alphafetoprotein elevations and marked oval cell proliferatoion in young male pekin ducklings.Pathology, 30:34-39.
42. Stoev SD, Koynarsky V, Mantle PG. (2002). Clinicomorphological studies in chicks fed ochratoxin A while simultaneously developing coccidiosis. Vet. Res. Comm. 26, 189-204.
43. Tipu AM, Pasha TN, Ali Z. (2002). Comparative efficacy of salinomycin sodium and neem fruit (Azadirachta indica) as feed additive anticoccidials in broilers. International Journal Poultry Science, Faisalabad, 1(4):91-93.
44. Varley H, Gowenlock AH, Bell M. (1980). Determination of serum lactate dehydrogenase activity. In : Clinical biochemistry. 5th ed. London, Williams Hieinemann Medical Books Ltd .715-720.
45. Wyatt RD, Ruff MD, Page RK. (1975). Interaction of aflatoxin with Eimeria tenella infection and monensin in young broiler chickens. Avian Dis.19: 730- 740.
46. West, SW, Wyatt, RD, Hamilton PB. (1973). Improved yield of aflatoxin by incremental increase of temperature. Appl. Microbiology, 25: 1018-1019.
47. Williams RB, Carlyle WW, Bond W W, Brown DR.(1999). The efficacy and economic benefits of Paracox, a live attenuated anticoccidial vaccine, in commercial trials with standard broiler chickens in the United Kingdom. International Journal for Parasitology, Oxford, .29 :341-355.