The latest reports on aquaculture production in Mexico establish that there has been a considerable increase in this agro-industrial activity. This rebound in aquatic organisms production for human consumption originates due to each year more producers are interested in venturing into tilapia (Oreochromissp.) farming. According to official numbers, Mexico is the ninth largest tilapia producer worldwide, with the state of Chiapas being the largest producer in the country thanks to the large number of water bodies and the climatic conditions.
With the development of aquaculture, different alternatives are being implemented that help optimize production yields when facing climatological challenges and diseases. One of the main factors that interfere with this objective is nutrition, being one of the pillars in the sustainability of any organism's crops.
In this test we used a commercial mix (Coxsan) of essential oregano oil at 5.74%, which has two active agents, Thymol and Carvacrol, and a garlic extract at 2.13%, whose active agent is Allicin. It’s an additive produced by Laboratorios Karizoo an Alivira Group Company.
The main objective that was raised in this first stage was "Evaluate the effect on tilapias by the incorporation of the product in the feed" but without ignoring:
• The evaluation of the productive parameters of tilapia throughout the productive cycle.
• Determination of the effect at the histological level of liver and intestine with the addition of the product to the diet.
• Know the potential for the control of bacterial diseases.
• Know the potential to control streptococcosis in the absence of a vaccine.
Materials and Methods
The trial was developed on a commercial farm in La Angostura dam in El Santuario, Chiapas.
A total of 109,860 tilapias divided into two 720m3 floating cages with an average harvest density of 23 kg per m3 were used. One control cage and one experimental. The control cage was stocked with 54,930 fish of an average of 22.11g, and the experimental cage was stocked with 55,119 fish of 21.32g. The feed supplied was a commercial diet for tilapia manufactured by the Mexican company TOP FISH, with 30% protein, 5% fat, 5% fiber, 11% ash, and 12% moisture, the same as Coxsan premix, added from the food plant, through extrusion. The experimental cage was fed with pellets added with the product at 500 g per ton, while the control cage only received the base food. On the other hand, only the fish of the control group were vaccinated against streptococci and during the streptococcosis event, the diet of the control group was added with antibiotic at the dose and brand used in the farm protocol. As part of the follow-up, 2 samples were taken for histopathological and bacterial analysis, the first 30 days after the test began and the second 90 days. In each of these samplings, the analysis of 8 organisms per treatment was considered. These analyzes were carried out at the Autonomous University of Baja California.
The survival rate after the streptococosis event was evaluated. For this, the initial number of organisms at the beginning of the event was considered as 100%, having a total of 36,479 organisms in the control group and 28,949 in the product group, contrasting with the number of organisms at the end of the event, registering 27,363 organisms for the control group and 23,331 for the product group. Finally, an estimation of the profits was made by comparing the profit from fish sold and the investment.
RESULTS
Diagnosis
First sampling
It was observed during the administration of the food that the organisms in the experimental group showed a greater acceptance of feeding, unlike that presented by the organisms of the control group, where the food was not consumed at the same rate as the experimental cage.
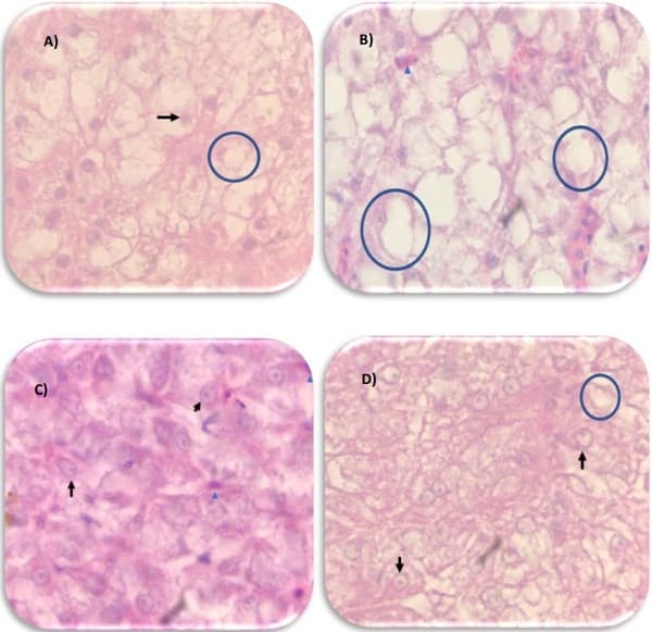
The livers of the organisms of the control group showed light to moderate alterations, observing the presence of some vacuoles, this type of modification being typical of lipid accumulation. Despite this observation, a good number and arrangement of hepatocytes were identified. Histopathological liver samples from the experimental group showed good cellular organization, absence of lipid vacuoles, as well as a greater presence of INTEGRAL hepatocytes (Figure 1). In this sampling, a greater accumulation of visceral fat was observed in the control group compared to the accumulation registered in the organisms of the experimental group; however, in both groups the fat present was very low.

Figure 1. Control group tilapia liver (A 40X and B 100X). The cellular arrangement is appreciated with the presence of a good number of hepatocytes, as well as a slight proliferation of lipid vacuoles and the product group (C 40X and D 100X). The cellular arrangement and the absence of lipid-like vacuoles can be seen. Lipid vacuoles (dotted circles) and intact hepatocytes (arrow).
The villi of all the organisms registered a suitable conformation, without the presence of inflammation. The organisms of the control group showed a significant number of defense cells (acidophil granulocytes) compared to that recorded in the organisms of the experimental group (Figure 2).
Figure 2. Microvilli of organisms from the control group (A 5X and B 100X) and experimental group (C 10X and D 100X). In dotted circles goblet cells and acidophilic granulocytes (arrow)
Second sampling
Prior to this sampling, there was a severe mortality event, with signs of exophthalmos, erratic swimming, discoloration of the fins, and granulomas suggestive of a streptococcosis event being observed in the organisms. Mortalities were widespread on the farm even among Streptococcus sp. vaccinated organisms. To control this event, antibiotics were supplied in the feed, excluding the organisms in the group that were being fed the diet supplemented with the product.
In the control cage, some organisms with the clinical signs of this event were still observed. Regarding the internal review, organisms in the control group recorded a significant increase in visceral fat compared to organisms in the experimental group.
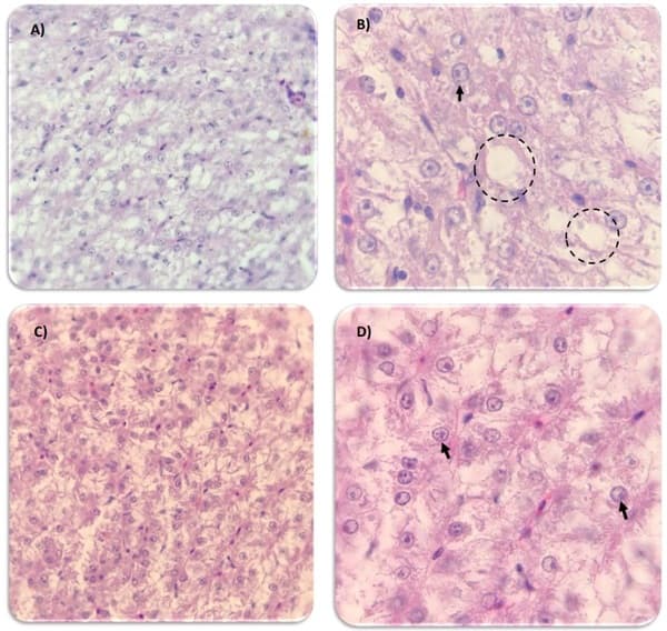
In the histological revision of the liver, it was observed that the fish of the experimental group presented a better cellular organization in comparison with what was registered in the liver of the organisms of the control group. In the experimental group, a lower presence of lipid-like vacuoles was recorded, as well as a greater presence of INTEGRAL hepatocytes, while in the organisms of the control group, an increase in lipid vacuoles was observed, as well as a decrease in intact hepatocytes (Figure 3 ).
Figure 3. Different views of histological sections of tilapia liver. A and B (100X) control group and C and D (100X) experimental. Whole hepatocytes (black arrow), lipid-like vacuoles (circles), and inflammatory cells (blue arrowhead).
Regarding the intestinal villi, an adequate development was recorded both in size and in the number of goblet cells between the different treatments, highlighting only the increase in the presence of defense cells in the organisms of the product group (Figure 4).
Figure 4. Microvilli of organisms from the control group (A 5X and B 100X) and experimental group (C 5X and D 100X). In dotted circles, proliferation of defense cells in the intestine. Acidophilic granulocytes (arrows).
Production and financial index
It was observed that the organisms of the product group reached the sales weight 15 days earlier than that recorded by the control group (Graph 3) despite the fact that they began the test having a lower weight than that recorded in the organisms of the control group (Graph 1).
On the other hand, the specific growth rate (SGR) in the experimental group was higher than that recorded in the organisms of the control group (5.81% and 5.15% respectively), the same behavior as the daily weight gain (DWG) (4.67 g and 4.38 g, respectively). Although the specific feeding rate (SFR) was higher in the experimental group compared to that recorded in the control group (11.20% and 15.99%, respectively), this is directly related to the higher food intake of the organisms in the experimental group that means fewer days, as well as greater weight gain (Graph 2).


Regarding final survival, the experimental group registered an apparently lower percentage of survival (44%) compared to the survival registered in the control group (47%); however, when performing the analysis of the percentage of survival after the event of high mortality suggestive of streptococcosis, it was recorded that the survival rate for the control group was 78% while for the product group it was 81% (graph 4).
All these productive parameters are reflected in the final investment made in food and vaccines, since the cost of food for the product group was $20,402.61 USD, while for the control group, it was $29,165.92 USD (Graph 5)*.
Conclusions and Discussion
The organisms of the control group presented a greater accumulation of visceral fat than the organisms of the product group. The greater presence of visceral fat coincides with the increase in vacuoles in the liver that may be associated with the presence of excessive lipid accumulation, without actually presenting cell death (necrosis). Throughout the test, it was observed that the highest hepatic cell integrity was recorded by the organisms that were fed with pellets added with the product.
The negative effect observed in the histopathological liver samples after three months of treatment in the organisms of the control group may be totally related to a direct effect caused by the antibiotic used to control the presumptive event of streptococcosis, reinforcing this theory with what was observed in the intestinal villi where in none of the samples were inflammatory processes (enteritis) or shortening the villi or even a decrease in the number of goblet cells observed which is an indication that the diet's formula used, complies with the requirements for the development of tilapia.
In the last sampling, the increase in the presence of granulocytes in the intestine of the organisms of the experimental group stands out, unlike the amount observed in the intestine of the control group, which indicates that the immune system of the organisms subjected to the diet with the product was responding efficiently to some external stressor, most likely related to the bacterial infection that affected the farm.
The presence of a streptococcosis event during the test could show the difference between vaccinating or not the organisms, however, the organisms of the product group were not included in the vaccination plan, so the possible positive synergy between the use of phytogenics and vaccination plans could not be evaluated. On the other hand, it is worth making an in-depth analysis of the difference found between applying a vaccine and an antibiotic treatment, and administering the appropriate phytogenic mix formula to prevent damage and reduce expected mortality. Although the results of the experimental group were apparently lower, in field conditions, not only the productive result must be analyzed, but also the financial result. In this way, if we take the data as it is observed, apparently the results are lower with the use of the phytogenic; however, there are some very important parameters: the time in fattening, weight gain and mortality.
A calculation of the investment costs against the profits from the sale of the organisms was made, which will allow a clearer picture of the profitability of the phytogenic application to the production of tilapia. For this, a tilapia retail price of $3.00 per kilogram was considered, considering that the profit obtained, regarding only the cost of food and vaccination; the control group had a profit of $11,558.86, while, in the product group, the profit amounts to $20,582.71. If we subtract the same amount of investment from the application of vaccines made for the experimental group ($5,493.00) from the profit recorded with the sale of the organisms of the product group, the profit would have been $15,089.71, that is, $3,530.85 more than what was recorded in the control group.
Taking into account that the organisms of the experimental group were not included in the vaccination plan, nor were they given food with antibiotics, the recorded survival percentage shows a clear beneficial effect of the response of the organisms to a bacterial challenge. Although the direct effect that phytogenic products provide in the area of aquatic animal health is evident, the benefits could be even better in the prevention of infections of a different nature, such as the bacterial event that occurred during the test by combining vaccination plans with the addition of phytogenic products that could result in increased survival.
Acknowledgments
We thank BioWorld Production for the support and trust granted during this study conduct, as well as Canis Food Nutrition S de RL de CV (TOP FISH) and Biol. Isaias González Ledesma, who undoubtedly played a key role in the generation of this connection and work. Last but not least, we would like to thank the Universidad Autónoma de Baja California for the facilities provided, as well as for the work carried out through the research agreement established with Laboratorios Karizoo.